感染2019新型冠状病毒的美国男子注射吉利德新型药物“瑞德西韦”后病情明显好转
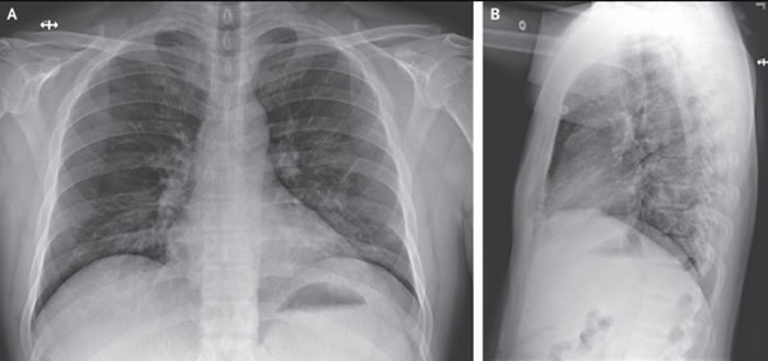
患者住院第6天的胸部X光
(蜘蛛网eeook.com报道)据ETtoday(詹雅婷、丁维瑀):各国医界现正寻找治疗2019新型冠状病毒(俗称「武汉肺炎」)的方法。值得一提的是,美国首例确诊的35岁男子使用美国生物制药公司吉利德(Gilead)开发的新型实验性抗病毒药物后,病情在一日内明显好转,且无明显副作用。消息一出,让许多医师们相当振奋,支持该药物进行下一步测试。
综合彭博等外媒报导,该名35岁男子先前曾赴武汉,并没有去过华南海鲜市场,但返美后出现咳嗽、发烧等症状,随后入住华盛顿州一间医疗中心的隔离病房接受观察治疗。然而,他的病情最初并未有明显改善,接续出现干咳、间歇发热伴随心搏过速等症状,到了入院第5天(患病第9天),X光检查显现出左肺下叶有着肺炎症状,呼吸道状态出现改变,并于第6天开始接受输氧。
眼见病况越来越严重,医师们改变药物与治疗方式,让男子在入院第7天接受静脉注射瑞德西韦(remdesivir)。隔日,患者的临床症状有所改善且相关数值也提升,他停止供氧,食欲改善,除了断断续续的咳嗽与流鼻水,并没有其他症状。
根据《新英格兰医学杂志》(NEJM)1月31日公布的病例报告,男子用药后,病况在一日之内出现改善,且没有明显副作用。该医疗中心首席医疗官杰伊库克(Jay Cook)说,他们认为使用瑞德西韦的好处超越任何潜在风险,在征得感染者同意后用药,且据他所知,这是全球首次使用瑞德西韦来治疗武汉肺炎的个案。
事实上,吉利德是一间以制造治疗C型肝炎和爱滋病的抗病毒药物而闻名的生物制药公司,而瑞德西韦是先前为了对抗伊波拉病毒所开发的药物。华盛顿卫生部门专家史考特林奎斯特(Scott Lindquist)透露,药厂正试图与中国合作研究。
吉利德透过声明表示,该药物现阶段仅获准供人道使用,尚未在世界上任何地方获得许可或批准,也没有被证明是安全有效的,但现正与全球卫生当局合作,透过适当使用瑞德西韦来对抗武汉肺炎疫情,并与个别研究人员与临床医师合作,利用抗病毒等专业知识从旁协助患者对抗2019新型冠状病毒(2019-nCoV)。













