《癌症发现》杂志:因导致严重腹泻感染的艰难梭菌也可能导致结肠直肠癌
《癌症发现》杂志:因导致严重腹泻感染的艰难梭菌也可能导致结肠直肠癌
(蜘蛛网eeook.com报道)据cnBeta:根据彭博社金梅尔癌症免疫治疗研究所和约翰斯·霍普金斯大学金梅尔癌症中心的科学家们收集的数据,因导致严重腹泻感染而闻名的细菌物种艰难梭菌(即C. diff),也可能导致结肠直肠癌。这项研究最近发表在《癌症发现》杂志上,它可能揭示了这种微生物的另一个问题作用,这种微生物每年在美国造成50多万次感染,其中许多感染的治疗非常困难。
“近年来,50岁以下的人被诊断为结肠直肠癌的上升趋势令人震惊。我们发现这种细菌似乎是结肠恶性肿瘤的一个非常意外的促成因素,即正常细胞变成癌症的过程,”约翰斯·霍普金斯大学金梅尔癌症中心免疫疗法教授、医学博士Cynthia Sears说。
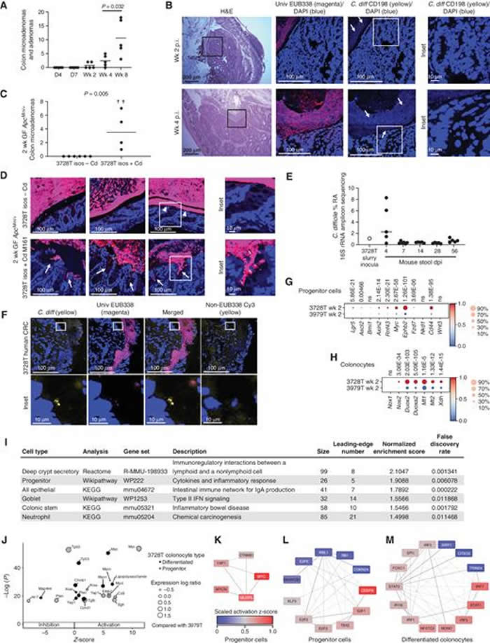
Sears实验室的研究人员几年前报告说,一半以上的结肠直肠癌患者有细菌生物膜--结肠表面密集的细菌群--而没有肿瘤的健康人中只有10%至15%有生物膜。然而,当研究人员用源自特定结肠直肠癌患者的生物膜样本感染小鼠时,有一个样本让人眼前一亮,因为它明显提高了小鼠的结肠直肠肿瘤。这种浆液在85%的小鼠中引起了肿瘤,而在大多数对照组中,肿瘤的发展低于5%。
在额外的工作中,该团队发现了一个没有生物膜的病人样本,它同样增加了小鼠的结直肠肿瘤。尽管有几种细菌物种与结肠直肠癌有关--包括肠毒性脆弱拟杆菌、具核梭杆菌和大肠杆菌的一个特定菌株--但这些微生物在这两名患者的肿瘤中要么不存在(脆弱拟杆菌和大肠杆菌),要么没有成功定植于小鼠体内(具核梭杆菌),这表明其他细菌负责促进结肠直肠癌的连锁反应。
为了确定哪些细菌可能在小鼠体内引起肿瘤,Sears与研究的共同作者、约翰斯·霍普金斯大学的医学助理教授Julia Drewes博士、Jie (Angela) Chen博士、Jada Domingue博士及其同事进行了额外的实验,看看是单一细菌物种还是细菌群落在小鼠体内促进肿瘤的形成。
他们注意到,有毒的艰难梭菌,即导致腹泻的艰难梭菌类型,在没有引起肿瘤的样本中没有,但在引起小鼠肿瘤的样本中却存在。当研究人员将这种细菌添加到原本不会导致肿瘤的样本中时,它在小鼠体内诱发了结肠肿瘤。进一步的测试显示,仅艰难梭菌就足以促使动物模型中的肿瘤形成。
由共同作者、范德堡大学医学中心医学助理教授Nicholas Markham博士和研究的共同负责人、约翰斯·霍普金斯大学肿瘤学副教授Franck Housseau博士和范德堡大学医学院细胞和发育生物学及外科副教授Ken Lau博士领导的额外实验显示,艰难梭菌在结肠细胞内带来一系列变化,使它们容易发生癌症。
暴露于这种细菌的细胞开启了驱动癌症的基因,关闭了保护癌症的基因。这些细胞产生了活性氧,这些不稳定的分子可以损害DNA,而且它们还促使与有害炎症相关的免疫活动。
研究人员说,这种细菌产生的一种毒素--被称为TcdB--似乎导致了大部分的这种活动。当他们使用含有失活毒素基因或释放一种叫做TcdA的相关艰难梭菌毒素的基因工程菌株时,感染了TcdB失活微生物的小鼠产生的肿瘤要比感染了TcdB活性微生物的小鼠少得多,而艰难梭菌制造的TcdA并不足以导致肿瘤。
Drewes说,迄今为止,将艰难梭菌与人类结肠直肠癌联系起来的流行病学数据有限,但如果进一步的研究显示存在这种联系,它可能会导致对潜在的艰难梭菌感染或以前的感染作为癌症的风险因素进行筛查。由于长时间接触艰难梭菌可能会增加结肠直肠癌的风险,一项重要的预防工作可能包括加强努力,快速有效地根除这种病原体,这种病原体在初始治疗后在15%-30%的受感染患者中反复出现--包括儿科患者。
Drewes表示:“虽然艰难梭菌和结直肠癌之间的这种联系需要在前瞻性的纵向队列中得到证实,但开发更好的策略和治疗方法以减少艰难梭菌原发感染和复发的风险,既可以使患者免于严重腹泻的直接后果,又可能限制以后的结直肠癌风险。”













