首页
天文
航天
地球
科技
环保
医学
健康
地理
军事
历史
动物
植物
古生物
恐龙
考古
奥秘
探险
自然
外星人
水怪
野人
灵异
发明
博览
蜘蛛网
科技
瑞士洛桑联邦理工学院研究新突破成功让下
电流刺激患者腿部重新活动,重建神经网络。瑞士洛桑联邦理工学...
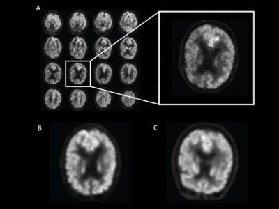
美国加州大学三藩市分校研AI检测脑图像
研究人员让AI学习深度运算法检测脑图像,及早发现早老性痴呆症...
美国科学家利用3D打印生物墨水 借蘑菇光
科学家成功以蘑菇配合生物墨水产生电流。(蜘蛛网eeook.com报...
前苏联著名飞机设计师图波列夫诞辰130周年
传奇的图波列夫飞机:行于和平与战争当中ANT-6四引擎重型轰炸...
中国宣布世界上最大的“鲲龙”AG600型水
中国宣布世界上最大的“鲲龙”AG600型水陆两栖飞机成功完成从...
日本京都大学松野研究室研发专为灾场救援
日本京都大学松野研究室研发专为灾场救援探测用的蛇型机器人(...
美国国防部计划开发让人工智能AI以人类常
冈宁(小图)指MCS系统训练AI如人类般用常识思考。(蜘蛛网ee...
美国波士顿动力公司的类人类机器人“Atl
美国波士顿动力公司的类人类机器人“Atlas”会后空翻还会跑酷...
号称世界上第一款搭载人工智能的保安监控
保安监控镜头可上下左右转动,能把死角减到最低。保安监控镜头...
学习蝠鲼的独特过滤系统
前口蝠鲼的口腔(蜘蛛网eeook.com报道)据EurekAlert!:蝠鲼是...
1...
上一页
32
33
34
35
36
37
38
39
40
41
...149
下一页
最新资讯
星际彗星3I/ATLAS消
彗星3I/ATLAS在这张由夏威夷Maunakea双子座北方星的双子座多天体光谱仪(GMOS)拍摄...
人工智能刚刚破解了
日冕物质抛射与太阳色球层的混合图像。图片来源:SOHO—ESA & NASA(蜘蛛网eeo...
天文学家发现了隐藏
三个时期PACO生成的S/N地图。图像比例显示在右下角,行星的位置用箭头表示。左侧颜...
大海守护了这个秘密
法国布列塔尼塞恩岛附近一堵古老的水下城墙上排列着立石。图片来源:Hal Open Scie...
科学家发现6600多万
地狱溪沧龙,克里斯托弗·迪皮亚扎重建。图片来源:克里斯托弗·迪皮亚扎(蜘蛛网e...
地球的秘密海洋:4
在一个微小的实验样本中探测水。图片来源:杜治学教授团队(蜘蛛网eeook.com)据今...
研究发现,生活在村
亚平宁棕熊的特写照片。图片来源:Bruno D'Amicis/分子生物学与进化(蜘蛛网eeook....
为什么有些动物会吃
科学家们仍未完全理解为什么有些动物会吃自己的后代。 图片来源:DepositPho...
金属探测爱好者偶然
遗骸很可能是居住在比尤恩的已婚妇女遗骸。图片:雷蒙德·索瓦奇,NTNU大学博物馆(...
“霍比特人”在5万
佛罗勒斯人,也被称为“弗洛勒斯人”或“霍比特人”,是一种已灭绝的小型古人类物种...