首页
天文
航天
地球
科技
环保
医学
健康
地理
军事
历史
动物
植物
古生物
恐龙
考古
奥秘
探险
自然
外星人
水怪
野人
灵异
发明
博览
蜘蛛网
医学
Insilico Medicine公布2019年新型冠状病
Insilico Medicine公布2019年新型冠状病毒3CL蛋白酶靶向小分子的结构(CREDIT: Ins...
一种可阻断蚊虫逐热的方法或能有助于指导
一种可阻断蚊虫逐热的方法或能有助于指导研发控制蚊媒疾病(如疟疾)的新方法(Crys...
美国生物学家发现没有大脑信号免疫细胞行
美国生物学家发现没有大脑信号免疫细胞行为会发生紊乱 抗感染能力大幅恶化(©...
研究发现新型冠状病毒nCoV-2019与蝙蝠的
研究发现新型冠状病毒nCoV-2019与蝙蝠的冠状病毒序列一致性高达96%(蜘蛛网eeook.c...
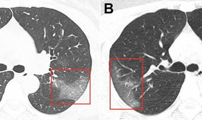
中国卫生部门公开一名感染2019-NSV冠状病
中国卫生部门公开一名感染2019-NSV冠状病毒的女性患者的肺部图片( © 照片 : ...
耶鲁大学研究墨西哥钝口螈基因 有望令人
耶鲁大学研究墨西哥钝口螈基因 有望令人类拥肢体再生能力(蜘蛛网eeook.com报道)据...
日本国立感染症研究所成功从患者分离新型
日本国立感染症研究所成功从患者分离新型冠状病毒 助研疫苗(蜘蛛网eeook.com报道)...
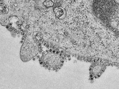
香港大学科学家发布首批新型冠状病毒繁殖
香港大学科学家发布首批新型冠状病毒繁殖的图像 显示感染2019-nCoV冠状病毒的细胞(...
中国科学院武汉病毒研究所最新研究表明新
中国科学院武汉病毒研究所最新研究表明新型冠状病毒可能来源于蝙蝠(蜘蛛网eeook.c...
荷兰乌特勒支大学在实验室培育出可分泌毒
研究人员以珊瑚眼镜蛇等的腺体组织细胞(小图),培殖出可制造毒素的人工腺体。传统...
1...
上一页
46
47
48
49
50
51
52
53
54
55
...187
下一页
最新资讯
星际彗星3I/ATLAS消
彗星3I/ATLAS在这张由夏威夷Maunakea双子座北方星的双子座多天体光谱仪(GMOS)拍摄...
人工智能刚刚破解了
日冕物质抛射与太阳色球层的混合图像。图片来源:SOHO—ESA & NASA(蜘蛛网eeo...
天文学家发现了隐藏
三个时期PACO生成的S/N地图。图像比例显示在右下角,行星的位置用箭头表示。左侧颜...
大海守护了这个秘密
法国布列塔尼塞恩岛附近一堵古老的水下城墙上排列着立石。图片来源:Hal Open Scie...
科学家发现6600多万
地狱溪沧龙,克里斯托弗·迪皮亚扎重建。图片来源:克里斯托弗·迪皮亚扎(蜘蛛网e...
地球的秘密海洋:4
在一个微小的实验样本中探测水。图片来源:杜治学教授团队(蜘蛛网eeook.com)据今...
研究发现,生活在村
亚平宁棕熊的特写照片。图片来源:Bruno D'Amicis/分子生物学与进化(蜘蛛网eeook....
为什么有些动物会吃
科学家们仍未完全理解为什么有些动物会吃自己的后代。 图片来源:DepositPho...
金属探测爱好者偶然
遗骸很可能是居住在比尤恩的已婚妇女遗骸。图片:雷蒙德·索瓦奇,NTNU大学博物馆(...
“霍比特人”在5万
佛罗勒斯人,也被称为“弗洛勒斯人”或“霍比特人”,是一种已灭绝的小型古人类物种...