首页
天文
航天
地球
科技
环保
医学
健康
地理
军事
历史
动物
植物
古生物
恐龙
考古
奥秘
探险
自然
外星人
水怪
野人
灵异
发明
博览
蜘蛛网
健康
《临床精神医学杂志》:研究显示找到生活
《临床精神医学杂志》:研究显示找到生活意义的人更健康(© Depositphotos / ...
医学博士讲述何种因素可以引起高血压并如
医学博士讲述何种因素可以引起高血压并如何加以预防(© 照片 : Pixabay)(蜘...
研究发现食用燕麦籽提取物可降低血液中胆
研究发现食用燕麦籽提取物可降低血液中胆固醇的水平(CC BY 2.0 / Mitsos Manios /...
日本东京大学医学研究所团队研发出可预防
日本东京大学医学研究所团队研发出可预防埃博拉感染及扩散的疫苗“iEvac-Z”(蜘蛛...
美国总统特朗普考虑缩减大药厂生物制剂知
美国总统特朗普考虑缩减大药厂生物制剂知识产权保护年期 换国会通过美墨加协定(蜘...
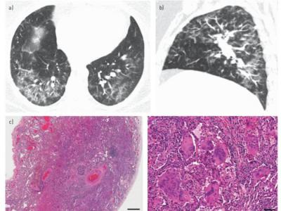
美国加州中年妇女吸食电子烟半年罹患罕见
(右上下图)女患者的肺部影像图,可见不少细胞受损。左上下图为健康肺部。美国发现...
治疗柏金逊病患者妄想症状的药物Nuplazi
治疗柏金逊病患者妄想症状的药物Nuplazid对抑制老人痴呆同样有效(蜘蛛网eeook.com...
世界卫生组织:麻疹去年夺14万人性命 大
世界卫生组织:麻疹去年夺14万人性命 大部分是儿童(蜘蛛网eeook.com报道)据东网:...
《国际癌症期刊》:常用永久染发剂或增患
《国际癌症期刊》:常用永久染发剂或增患乳癌风险(蜘蛛网eeook.com报道)据东网:...
俄罗斯科学家合成出可以同时治疗恶性黑素
俄罗斯科学家合成出可以同时治疗恶性黑素瘤、胶质母细胞瘤和肺癌三种癌症的药物(&...
1...
上一页
120
121
122
123
124
125
126
127
128
129
...348
下一页
最新资讯
星际彗星3I/ATLAS在
星际彗星3I/ATLAS在X射线下发光,它可能隐藏着我们从未见过的气体。图片来源:ESA/...
天文学家在银河系半
半人马座欧米茄球状星团。图片来源:查克·阿尤布(蜘蛛网eeook.com)据今日科学新...
天文学家发现一个行
示例是基于每个伴星的深曝光10′′ K波段图像堆栈的Keck/NIRC2信噪比映射。这些映射...
银河系边缘巨大的新
美国宇航局的詹姆斯·韦伯太空望远镜最近在我们银河系边缘的Sh2-284星团中拍摄到了...
地球的起源故事可能
本研究假设的系统的示意图。图片来源:科学进展(2025年)。DOI: 10.1126/sciadv....
Terra Amata遗址揭
Terra Amata遗址有助于理解欧洲最早人类的技术灵活性。图片来源:西班牙国家人类进...
天文学家在金牛座发
示例:来自每个伴星的深度曝光10′′ K波段图像栈的Keck/NIRC2信噪图。这些图是通过...
太平洋深渊中伪装成
头足类分布于东北太平洋的深渊。(a) 显示每个分类单元所有目击记录的地图。(b)...
星际彗星3I/ATLAS消
彗星3I/ATLAS在这张由夏威夷Maunakea双子座北方星的双子座多天体光谱仪(GMOS)拍摄...
人工智能刚刚破解了
日冕物质抛射与太阳色球层的混合图像。图片来源:SOHO—ESA & NASA(蜘蛛网eeo...