哪些脑区异常可导致帕金森病患者的痴呆?
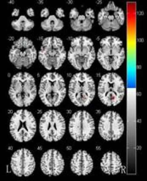
帕金森病伴痴呆患者较不伴痴呆患者大脑灰质体积显著减少的区域
帕金森是一个多系统损害性疾病,除表现典型的运动症状外还会出现各种非运动症状,而其中行为异常,性格改变以及认知损害等都可能导致痴呆的发生。基于体素的形态学测量方法是目前研究帕金森病伴痴呆的热点。
《中国神经再生研究(英文版)》杂志2013年5月14期出版的一项关于“Changes of brain gray matter structure in Parkinson’s disease patients with dementia”的文章,采用基于体素的形态学分析方法,通过统计参数图软件5对帕金森病伴痴呆患者与无痴呆的帕金森病患者的MR灰质数据进行统计分析,结果发现,与无痴呆的帕金森病患者相比,帕金森病伴痴呆患者脑灰质体积异常减少的脑区包括:右颞上回、左颞上回、左侧额下回、两侧后扣带回、左侧扣带回、右侧海马旁回、海马、右侧楔前叶、楔叶及左侧岛叶;未见灰质体积明显增加的脑区。
研究认为,边缘系统及大脑新皮质的体积缺失与帕金森病患者的痴呆关系密切,帕金森病痴呆与其他类型痴呆如阿尔兹海默病萎缩脑区并不完全一致。 (EurekAlert!)













