首页
天文
航天
地球
科技
环保
医学
健康
地理
军事
历史
动物
植物
古生物
恐龙
考古
奥秘
探险
自然
外星人
水怪
野人
灵异
发明
博览
蜘蛛网
医学
现代性别起源于大约相同的时间
一渔民在传统的芦苇制的撒丁岛船上 据EurekAlert!:哪个先出现:男人还是女人?...
美国医师:尖端医学研究将使死亡不久的患
美国医师:尖端医学研究将使死亡不久的患者死而复生 据腾讯科学:英国每日邮报报...
日本启动人类干细胞临床研究
日本政府目前正在积极推进iPS 细胞的治疗事业 据中国科学报:8月1日,日本神户理...
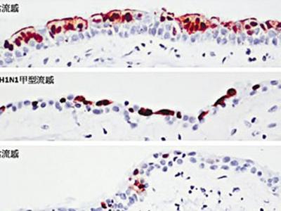
香港大学研究揭开H7N9短期感染人类之谜
图片显示人类支气管上皮组织,棕色部分显示被病毒感染的细胞,蓝色部分显示非感染...
最新研究表明扁形虫的头部被切除之后仍能
扁形虫切下的尾部碎片可生长形成具有头部和眼睛的完整有机体 当使用吡喹酮作用...
科学家成功利用老鼠干细胞培育出视网膜
眼睛中的干细胞 英国科学家成功利用老鼠干细胞培育出视网膜,并借助从这种视网...
发现已知最大的病毒:Pandoravirus
Pandoravirus颗粒的电子显微镜图像 近日一项研究指出,科学家已经发现了已知最大...
科学家发现地球上迄今为止最大的病毒:“
科学家发现一种新病毒——潘多拉病毒,是迄今世界上最大的病毒,它们生活在水下环...
超大型病毒破了纪录也提出了新的问题
Pandoravirus粒子的电子显微镜图像 10年前发现的巨型病毒Mimiviruses——这些是...
研究发现大量潜在基因会对自然选择有反应
研究人员利用大型围场监测鹿鼠的进化 从远处看,很难在人群里认出Rowan Barrett...
1...
上一页
132
133
134
135
136
137
138
139
140
141
...187
下一页
最新资讯
首个宇宙碰撞在距离
艺术表现恒星北落师门环绕盘中两个行星相撞的过程。图片来源:托马斯·穆勒(MPIA)...
两颗中子星可能形成
这位艺术家的概念展示了一个假设的事件,称为超千新星。一颗大质量恒星在超新星爆炸...
古代蜜蜂在骨头内产卵
一块哺乳动物头骨化石,牙齿窝里的沉积物,原来是史前蜜蜂筑的巢穴。图片来源:拉萨...
腹泻拖慢了罗马士兵
位于英格兰北部靠近哈德良长城的罗马堡垒温多兰达的三世纪浴场和厕所建筑。图片来源...
星际彗星3I/ATLAS在
星际彗星3I/ATLAS在X射线下发光,它可能隐藏着我们从未见过的气体。图片来源:ESA/...
天文学家在银河系半
半人马座欧米茄球状星团。图片来源:查克·阿尤布(蜘蛛网eeook.com)据今日科学新...
天文学家发现一个行
示例是基于每个伴星的深曝光10′′ K波段图像堆栈的Keck/NIRC2信噪比映射。这些映射...
银河系边缘巨大的新
美国宇航局的詹姆斯·韦伯太空望远镜最近在我们银河系边缘的Sh2-284星团中拍摄到了...
地球的起源故事可能
本研究假设的系统的示意图。图片来源:科学进展(2025年)。DOI: 10.1126/sciadv....
Terra Amata遗址揭
Terra Amata遗址有助于理解欧洲最早人类的技术灵活性。图片来源:西班牙国家人类进...