首页
天文
航天
地球
科技
环保
医学
健康
地理
军事
历史
动物
植物
古生物
恐龙
考古
奥秘
探险
自然
外星人
水怪
野人
灵异
发明
博览
蜘蛛网
医学
研究发现放射菌为进化树最基底的成员
放射菌 自达尔文出版《物种起源》以来,科学家就一直在努力寻找所有现生物种的共...
科学家发现导致遗传性儿童失明的一个新基因
科学家发现导致遗传性儿童失明的一个新基因 浙大团队发现儿童失明新基因 今天凌...
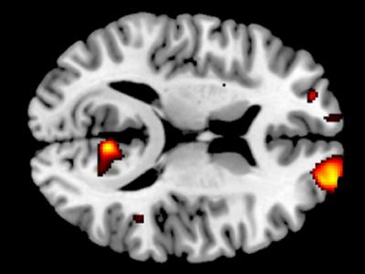
研究表明一个人大脑中的灰质越多越无私
科学家发现大脑内顶叶和颞叶结合处有更多灰质的人更无私 瑞士苏黎世大学的研究人...
两项最新动物发现未来将有助于延长人类寿命
最新研究显示老龄化蜜蜂执行年轻蜜蜂的养育护理工作,将有助于延长寿命 科学家最...
生殖腺也可控制鱼类生长
罗非鱼的生殖腺扮演了“二级垂体”的角色,可帮助其长到成年个头。 在内分泌系统...
邮差蝴蝶的基因组被测序
邮差蝴蝶Heliconius melpomene Heliconius蝴蝶是研究生态学、行为、拟态和物种形...
肌肉的起源之谜
水母的肌肉(红)与核质(蓝) 许多动物的一个显著特征就是能够利用肌肉组织进行...
进化新知:传染病塑造了现代人类
大肠杆菌 一支来自加利福尼亚大学圣迭戈医学院的研究团队,通过研究发现与人类免...
首次公布西红柿基因组
西红柿又名番茄、洋柿子、狼桃、番李子、金橘……这种最初被视为有毒物的蔬菜,至...
三个最为关键的基因突变决定人类大脑进化
神经元 来自耶鲁大学的研究者发现,在控制哺乳动物进化的几亿个基因突变中,三个...
1...
上一页
152
153
154
155
156
157
158
159
160
161
...187
下一页
最新资讯
星际彗星3I/ATLAS在
星际彗星3I/ATLAS在X射线下发光,它可能隐藏着我们从未见过的气体。图片来源:ESA/...
天文学家在银河系半
半人马座欧米茄球状星团。图片来源:查克·阿尤布(蜘蛛网eeook.com)据今日科学新...
天文学家发现一个行
示例是基于每个伴星的深曝光10′′ K波段图像堆栈的Keck/NIRC2信噪比映射。这些映射...
银河系边缘巨大的新
美国宇航局的詹姆斯·韦伯太空望远镜最近在我们银河系边缘的Sh2-284星团中拍摄到了...
地球的起源故事可能
本研究假设的系统的示意图。图片来源:科学进展(2025年)。DOI: 10.1126/sciadv....
Terra Amata遗址揭
Terra Amata遗址有助于理解欧洲最早人类的技术灵活性。图片来源:西班牙国家人类进...
天文学家在金牛座发
示例:来自每个伴星的深度曝光10′′ K波段图像栈的Keck/NIRC2信噪图。这些图是通过...
太平洋深渊中伪装成
头足类分布于东北太平洋的深渊。(a) 显示每个分类单元所有目击记录的地图。(b)...
星际彗星3I/ATLAS消
彗星3I/ATLAS在这张由夏威夷Maunakea双子座北方星的双子座多天体光谱仪(GMOS)拍摄...
人工智能刚刚破解了
日冕物质抛射与太阳色球层的混合图像。图片来源:SOHO—ESA & NASA(蜘蛛网eeo...