研究表明一个人大脑中的灰质越多越无私
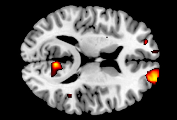
科学家发现大脑内顶叶和颞叶结合处有更多灰质的人更无私
瑞士苏黎世大学的研究人员近日发现,大脑内顶叶和颞叶结合处有更多灰质的人更无私。这项研究首次表明了大脑解剖、大脑活动和利他行为之间存在着联系。
为什么有些人很自私,而有些人非常无私呢?以往的研究表明,性别、收入或教育等社会类别难以解释利他行为的差异。最近的神经科学研究表明,大脑结构的差异可能与人格特质和能力的差异有关。现在,苏黎世大学经济学系主任恩斯特•费尔(Ernst Fehr)带领的研究团队首次证明了大脑解剖和利他行为之间有联系。
为了调查利他行为的差异是否有神经生物学的原因,志愿者们被要求将自己手上的钱分一部分给另一个人,志愿者有分多少钱给其他人的选择权,这种牺牲可以被视为利他行为,因为他们在牺牲自己的利益帮助别人。研究人员发现在这方面的主要差异:一些志愿者几乎从来不舍得牺牲金钱让他人受益,而其他人则表现得非常无私。
这项研究的目的是要找出为什么有这种差异。以往的研究表明,大脑的某些区域—顶叶和颞叶交汇的地方与一个人换位思考的能力有关。利他主义者在了解他人的想法和感受的能力更强。因此,研究人员认为,大脑中这部分的个体差异可能与利他行为的差异有关。苏黎世大学经济学系博士后研究员Yosuke Morishima说:“表现更无私的人在大脑的顶叶和颞叶结合处有更多的灰质。”
这项研究的志愿者在决定如何分钱时,他们的大脑活动有着明显的差异。自私的人在做出一些利他行为时,耳后的大脑区域就变得非常活跃了;而利他主义者在付出的代价非常高时,该大脑区域才变得比之前活跃。因此,当人们达到他们的无私行为意愿的极限时,这部分的大脑区域才被激活得特别强烈。
恩斯特•费尔说:“这一研究结果对我们来说是令人振奋的消息,研究表明利他行为是由生物因素所决定的。灰质数量也受到社会历程的影响。这一发现提出了一个有趣的问题:是否有可能通过适当的培训或社会规范促进这部分大脑区域的开发,促使人们变得更无私?”
搜狐科学(尚力)













