首页
天文
航天
地球
科技
环保
医学
健康
地理
军事
历史
动物
植物
古生物
恐龙
考古
奥秘
探险
自然
外星人
水怪
野人
灵异
发明
博览
蜘蛛网
医学
科学家发现千年冰川细菌可助人类活到140岁
既然老鼠与果蝇注射这种细菌后寿命延长三分之一,这种细菌可能有助于人类活到140...
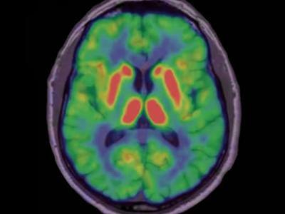
5-羟色胺解决了数十年之久的帕金森氏病之谜
健康大脑的PET图片 据6月30日的《科学 - 转化医学》杂志报道说,一项对2名接受了...
传染病直接导致全球智力差异
在这张地图中,覆盖着紫色的国家具有最高的平均IQ,而覆盖着暗红色的国家则IQ最低...
人们选择伴侣也会跟风
很多人应该都会同意这句话:恋爱是一件私人的事情。但是美国近日的一项研究证实,...
小鸡和人类一样从左往右计数
小鸡和人类一样从左往右计数 人类习惯于从左往右计数,小鸡也是如此。意大利特兰...
科学家发现消灭体虱良方
这里有一个让人挠头的家伙:人类体虱(Pediculus humanus humanus,如上图)。这...
大脑对身体的看法“严重扭曲”
大脑对身体的看法“严重扭曲” 英国专家15日表示大脑对身体的看法“严重扭曲”。...
男人瞬间爱上美女是基因演化结果
男人瞬间爱上美女是基因演化结果 据“中央社”6月12日援引外电报道,科学家们表...
“世界杯”的足球与细胞之相似处
从左至右分别为:此次世界杯比赛用新型足球,六边形和五边形的网格蛋白,甲虫Chy...
基因疗法增加了虚弱婴儿存活的机会
在运动神经元内SMN的更替 据6月9日的《科学 - 转化医学》杂志报道,在小鼠身上进...
1...
上一页
173
174
175
176
177
178
179
180
181
182
...187
下一页
最新资讯
沧龙可能同时威胁到
沧龙大多活动在海洋栖息地,但现在有证据表明它们有时会迁徙到其他地方。图片来源:...
海洋爬行动物的牙齿
地狱溪沧龙的重建。图片来源:克里斯托弗·迪皮亚扎(蜘蛛网eeook.com)据乌普萨拉...
研究显示,北极熊可
研究显示,北极熊可能正在适应更温暖的气候环境。图片:爱丽丝·戈登和本杰明·里克...
天文学家研究邻近星
梅西耶74,来自裁剪后的MUSE中央弧极数据立方体,将MUSE波长全域的光线结合起来。图...
研究表明,耳洞标志
戴着耳环的站着的玛雅战士的形象。公元650-800年,晚期经典。来源:The Art Instit...
地幔如何封锁了早期
(蜘蛛网eeook.com)据中国科学院:大约46亿年前,地球与我们今天所知的温柔蓝色星...
尼安德特人比之前认
燧石和黄铁矿火花的艺术家想象。图片来源:克雷格·威廉姆斯,大英博物馆托管人(蜘...
是谁建造了斯堪的纳
目前陈列于丹麦国家博物馆的Hjortspring船。 照片由Boel Bengtsson/Fauvelle等人拍...
NASA宇航员绕地球3
三名国际空间站宇航员于12月8日乘坐联盟号飞船返回哈萨克斯坦。图片来源:NASA / 比...
天王星和海王星可能
根据这项新研究,天王星可能是冰巨星(左)或岩石巨星(右),具体取决于模型假设。...