首页
天文
航天
地球
科技
环保
医学
健康
地理
军事
历史
动物
植物
古生物
恐龙
考古
奥秘
探险
自然
外星人
水怪
野人
灵异
发明
博览
蜘蛛网
医学
一个新的细胞周期调控因子
Caulobacter crescentus Caulobacter crescentus是湖泊和溪流中的一种貌不惊人的...
纤毛虫基因组完成测序
纤毛虫Paramecium tetraurelia 全基因组复制是极其强大的演化力量,而人们非常关...
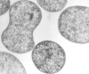
抗辐射球菌抗辐射的机制
抗辐射球菌(Deinococcus radiodurans) 抗辐射球菌(Deinococcus radiodurans)...
一种H/ACA box核蛋白的结构已被确定
一些RNA因特定核苷变成假尿苷而被改变。这个过程是由被称为H/ACA box核蛋白的特殊R...
RNAi诱导的转录沉寂的多代遗传
决定RNA干涉(RNAi)治疗潜力的一个重要因素是其抑制效应的寿命。以前,RNAi诱导的...
治疗失聪
人类失聪是由名为Corti的器官中起传感作用的毛细胞的损失造成的。在哺乳动物中,这...
“频率依赖型选择”机制获得实验结果支持
演化生物学上最棘手的问题之一是,如何解释自然种群何以能具有遗传多样性。在人们所...
C-活性蛋白(CRP)与心脏病的治疗
C-活性蛋白(CRP)是炎症和感染等症状的一个临床标记,但它也与受损的细胞结合,激...
Hcrt神经元的光刺激研究
Nature杂志上发表的一篇论文提出这样一个有趣的可能性:也许可以开发光疗法来治疗神...
细菌之间的信号欺骗
细菌之间通过小型可扩散分子的释放和感应(或群体感应)来进行的通信,被认为是在种...
1...
上一页
178
179
180
181
182
183
184
185
186
187
下一页
最新资讯
科学家们发现了一只
新墨西哥州发现了一种新的大型鸭嘴恐龙物种。包括宾夕法尼亚州立大学利哈伊谷分校生...
新的研究表明矮暴龙
晚白垩纪时期,一只成年矮暴龙(左)与两只幼年霸王龙对峙,一只亚成年霸王龙在远处...
古代人类不成群狩猎
内舍尔·拉姆拉遗址及其第三单元。(A)场地位置。(B)喀斯特洼地的地质剖面(标记...
那只被石头噎死的化
这只不幸的化石鸟类,喉咙里藏着800多块细小石块(颈骨左侧的灰色团块可见)。图片...
水蚺已经存在超过1
绿水蚺很容易就能长到20英尺,有时甚至更长。图片来源:Gerard Lacz / Deposit Pho...
罗马军队帮助将猫带
一只猫坐在现今土耳其伊兹密尔古城以弗所的遗址上。作为联合国教科文组织世界遗产,...
有有毒恐龙吗?
(蜘蛛网eeook.com)据《大众科学》(安德鲁·科莱蒂):这是原版《侏罗纪公园》电...
DNA分析显示,人类
地图显示巽他、萨胡尔和西太平洋的大陆架。图片来源:科学进展(2025年)。DOI: 1...
研究发现,象海豹能
一只雄性象海豹正在发出叫声。国家海洋渔业管理局许可证#23188。图片来源:卡罗琳·...
一个奇异的、类似U
摄影师瓦尔特·比诺托于11月17日拍摄了意大利波萨尼奥上空一圈类似UFO的红光圈,画...