首页
天文
航天
地球
科技
环保
医学
健康
地理
军事
历史
动物
植物
古生物
恐龙
考古
奥秘
探险
自然
外星人
水怪
野人
灵异
发明
博览
蜘蛛网
健康
新型冠状病毒在光滑物体表面会存活数小时
新型冠状病毒在光滑物体表面会存活数小时 最长可能会存活5天(© Sputnik / Vi...
营养不良会影响免疫系统 使人容易感染
营养不良会影响免疫系统 使人容易感染(© CC0 / Pixaba)(蜘蛛网eeook.com报...
《Plos One》:早上闹钟的不同旋律影响到
《Plos One》:早上闹钟的不同旋律影响到精神是抖擞还是萎靡(© Fotolia / Co...
天然草药Kratom或具有治疗作用 且被滥用
天然草药Kratom或具有治疗作用 且被滥用或造成伤害的可能性相对较低(CREDIT:Johns...
鸡尾酒疗法!泰国医疗团队将流感和艾滋病
鸡尾酒疗法!泰国医疗团队将流感和艾滋病药物结合医治新冠肺炎 48小时内病情好转(...
研究发现3种药物能抑制新型冠状病毒复制
研究发现3种药物能抑制新型冠状病毒复制(蜘蛛网eeook.com报道)据ETtoday(许力方...
泰国发现可有效治疗2019-nCoV冠状病毒患
泰国发现可有效治疗2019-nCoV冠状病毒患者的抗艾滋病和抗流感药物组合(© Spu...
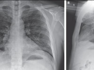
感染2019新型冠状病毒的美国男子注射吉利
患者住院第6天的胸部X光(蜘蛛网eeook.com报道)据ETtoday(詹雅婷、丁维瑀):各国...
湖南省邵阳市双清区发生家禽H5N1亚型高致
湖南省邵阳市双清区发生家禽H5N1亚型高致病性禽流感疫情(蜘蛛网eeook.com报道)据...
全球聚焦新冠肺炎的同时 美国流感疫情也
全球聚焦新冠肺炎的同时 美国流感疫情也持续扩大死亡超过8000人(蜘蛛网eeook.com报...
1...
上一页
105
106
107
108
109
110
111
112
113
114
...348
下一页
最新资讯
星际彗星3I/ATLAS在
星际彗星3I/ATLAS在X射线下发光,它可能隐藏着我们从未见过的气体。图片来源:ESA/...
天文学家在银河系半
半人马座欧米茄球状星团。图片来源:查克·阿尤布(蜘蛛网eeook.com)据今日科学新...
天文学家发现一个行
示例是基于每个伴星的深曝光10′′ K波段图像堆栈的Keck/NIRC2信噪比映射。这些映射...
银河系边缘巨大的新
美国宇航局的詹姆斯·韦伯太空望远镜最近在我们银河系边缘的Sh2-284星团中拍摄到了...
地球的起源故事可能
本研究假设的系统的示意图。图片来源:科学进展(2025年)。DOI: 10.1126/sciadv....
Terra Amata遗址揭
Terra Amata遗址有助于理解欧洲最早人类的技术灵活性。图片来源:西班牙国家人类进...
天文学家在金牛座发
示例:来自每个伴星的深度曝光10′′ K波段图像栈的Keck/NIRC2信噪图。这些图是通过...
太平洋深渊中伪装成
头足类分布于东北太平洋的深渊。(a) 显示每个分类单元所有目击记录的地图。(b)...
星际彗星3I/ATLAS消
彗星3I/ATLAS在这张由夏威夷Maunakea双子座北方星的双子座多天体光谱仪(GMOS)拍摄...
人工智能刚刚破解了
日冕物质抛射与太阳色球层的混合图像。图片来源:SOHO—ESA & NASA(蜘蛛网eeo...