首页
天文
航天
地球
科技
环保
医学
健康
地理
军事
历史
动物
植物
古生物
恐龙
考古
奥秘
探险
自然
外星人
水怪
野人
灵异
发明
博览
蜘蛛网
健康
研究战斗压力对部署在阿富汗的士兵的认知
研究战斗压力对部署在阿富汗的士兵的认知影响 对部署在阿富汗之后回国的士兵的一...
艾滋病毒有助于对抗癌症
艾滋病毒有助于对抗癌症 艾滋病是威胁人类健康的一大杀手,让其“弃暗投明”帮助...
遗传因素及饮食或对寿命更重要
限制卡路里摄入的恒河猴与它们更胖的同类衰老得一样快 对于那些在餐桌旁享受快乐...
巴西漫游蜘蛛毒液对男性阳痿有奇特功效
在一项老鼠测试实验中,对老鼠注射巴西漫游蜘蛛毒液促进一氧化氮释放可促进老鼠勃...
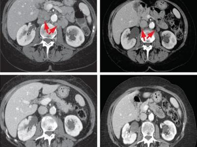
落选癌症药物对部分人群有效
这个膀胱癌患者的转移瘤在服用了一种试验药物后消失了 大多数试验性癌症药物根本...
研究发现每天喝一杯西柚汁能提高抗癌药物
西柚汁能影响肠道中的酶,防止它们分解药物。 一项新的研究发现,每天喝一杯西柚...
轻度忧虑也会增加过早死亡风险
抑郁症会增加过早死亡的风险是研究者早已发现的现象,但一项最新研究又显示,即...
一种名为脂肪酸合成酶的物质是治疗肥胖症
一种名为脂肪酸合成酶的物质是治疗肥胖症的潜在靶点 美国研究人员2日在美国期刊...
最新研究显示:运动无助减肥 少吃才是正道
最新研究显示:运动无助减肥 少吃才是正道 想象一下,当你坐在沙发或椅子上看这...
每天吃两片起司 患糖尿病几率就会降低
每天吃两片起司 患糖尿病几率就会降低 一项新的研究显示,如果每天吃两片起司,...
1...
上一页
323
324
325
326
327
328
329
330
331
332
...348
下一页
最新资讯
沧龙可能同时威胁到
沧龙大多活动在海洋栖息地,但现在有证据表明它们有时会迁徙到其他地方。图片来源:...
海洋爬行动物的牙齿
地狱溪沧龙的重建。图片来源:克里斯托弗·迪皮亚扎(蜘蛛网eeook.com)据乌普萨拉...
研究显示,北极熊可
研究显示,北极熊可能正在适应更温暖的气候环境。图片:爱丽丝·戈登和本杰明·里克...
天文学家研究邻近星
梅西耶74,来自裁剪后的MUSE中央弧极数据立方体,将MUSE波长全域的光线结合起来。图...
研究表明,耳洞标志
戴着耳环的站着的玛雅战士的形象。公元650-800年,晚期经典。来源:The Art Instit...
地幔如何封锁了早期
(蜘蛛网eeook.com)据中国科学院:大约46亿年前,地球与我们今天所知的温柔蓝色星...
尼安德特人比之前认
燧石和黄铁矿火花的艺术家想象。图片来源:克雷格·威廉姆斯,大英博物馆托管人(蜘...
是谁建造了斯堪的纳
目前陈列于丹麦国家博物馆的Hjortspring船。 照片由Boel Bengtsson/Fauvelle等人拍...
NASA宇航员绕地球3
三名国际空间站宇航员于12月8日乘坐联盟号飞船返回哈萨克斯坦。图片来源:NASA / 比...
天王星和海王星可能
根据这项新研究,天王星可能是冰巨星(左)或岩石巨星(右),具体取决于模型假设。...