首页
天文
航天
地球
科技
环保
医学
健康
地理
军事
历史
动物
植物
古生物
恐龙
考古
奥秘
探险
自然
外星人
水怪
野人
灵异
发明
博览
蜘蛛网
古生物
广东省韶关市武江区天子岭3.65亿年前“化
广东省韶关市武江区天子岭3.65亿年前“化石群”又有重大发现(...
化石爱好者在新西兰海滩捡回一块石头 剥
化石爱好者在新西兰海滩捡回一块石头 剥开惊现1200万年前螃蟹...
牙齿化石研究暗示有不同的远古猴子穿越一
牙齿化石研究暗示有不同的远古猴子穿越一大片水体在新大陆上生...
法国阿尔代什河附近山洞遗址中发现4.1万
法国阿尔代什河附近山洞遗址中发现4.1万至5.2万年前尼安德特人...
玻利维亚或拥有第五个古人类植物种植区
玻利维亚或拥有第五个古人类植物种植区(蜘蛛网eeook.com报道...
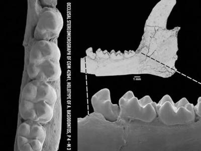
秘鲁亚马逊发现的臼齿化石的提示一种与阔
秘鲁亚马逊发现的臼齿化石的提示一种与阔鼻猴不同的灵长类世系...
“2019年度中国古生物学十大进展”——重
盖氏热河俊兽生态复原图长臂浑元龙复原图和当期《自然》杂志封面“清江生物群”复原...
中国古生物学会在南京发布“2019年度中国
侏罗纪擅攀鸟龙类的发现和膜质翅膀在兽脚类恐龙中的演化清江生...
200万年前非洲大陆上曾经有过3种古人类共
德里莫伦洞穴曾出土直立人(上小图)及傍人(下小图)等头骨(...
南非曾是3种古人类的家园 德里莫伦遗址出
南非曾是3种古人类的家园 德里莫伦遗址出土200万年前非洲最古...
1...
上一页
239
240
241
242
243
244
245
246
247
248
...890
下一页
最新资讯
首个宇宙碰撞在距离
艺术表现恒星北落师门环绕盘中两个行星相撞的过程。图片来源:托马斯·穆勒(MPIA)...
两颗中子星可能形成
这位艺术家的概念展示了一个假设的事件,称为超千新星。一颗大质量恒星在超新星爆炸...
古代蜜蜂在骨头内产卵
一块哺乳动物头骨化石,牙齿窝里的沉积物,原来是史前蜜蜂筑的巢穴。图片来源:拉萨...
腹泻拖慢了罗马士兵
位于英格兰北部靠近哈德良长城的罗马堡垒温多兰达的三世纪浴场和厕所建筑。图片来源...
星际彗星3I/ATLAS在
星际彗星3I/ATLAS在X射线下发光,它可能隐藏着我们从未见过的气体。图片来源:ESA/...
天文学家在银河系半
半人马座欧米茄球状星团。图片来源:查克·阿尤布(蜘蛛网eeook.com)据今日科学新...
天文学家发现一个行
示例是基于每个伴星的深曝光10′′ K波段图像堆栈的Keck/NIRC2信噪比映射。这些映射...
银河系边缘巨大的新
美国宇航局的詹姆斯·韦伯太空望远镜最近在我们银河系边缘的Sh2-284星团中拍摄到了...
地球的起源故事可能
本研究假设的系统的示意图。图片来源:科学进展(2025年)。DOI: 10.1126/sciadv....
Terra Amata遗址揭
Terra Amata遗址有助于理解欧洲最早人类的技术灵活性。图片来源:西班牙国家人类进...