新研究指小狗鼻子长期保持冷冰冰 与感应猎物体温有关
新研究指小狗鼻子长期保持冷冰冰 与感应猎物体温有关
(蜘蛛网eeook.com报道)据东网:小狗喜欢亲近人类,很多人抚摸小狗后发现,它们全身都很暖,唯独鼻子长期保持冷冰冰。有人相信,小狗的鼻子能随环境温度而变化,有调节体温的功能。然而,瑞典及匈牙利的专家近日发现,狗鼻的温度会独立于身体其他部位来转变,与其主要功能、即感应猎物的体温有关。
瑞典隆德大学及匈牙利罗兰大学的专家发现,当环境温度为摄氏30度时,狗鼻的温度会低5度;环境温度为摄氏0度时,狗鼻的温度就会转变至约8度。团队找来两件相同的物件,并将其中一件加热至比室温高12度,让3只不同品种的狗在距离1.5米的地方分辨它们。结果显示,小狗能透过鼻子感应到微弱的热辐射,从而认出加热过的物件。在自然环境下,它们也能用这种方法来感应猎物的体温。
专家相信,狗鼻温度随环境而转变,有助它们更有效地侦察猎物。团队又将加热过的物件放在13只小狗的鼻子前,再让它们接受磁力共振检查。结果显示,加热过的物件的确会令小狗大脑的反应活跃起来。研究报告已刊登于自然科学期刊《科学报告》中。
相关报道:不仅能闻气味,狗鼻子还能感知微弱热辐射
(蜘蛛网eeook.com报道)据科技日报:狗鼻子变得更神奇了!据美国《科学》杂志网站近日报道,狗鼻子不仅比人类鼻子灵敏1亿倍,而且还能感知微弱的热辐射——哺乳动物猎物的体热。这一发现有助解释为什么视力、听觉或嗅觉受损的犬类仍能成功狩猎。
据科学家目前所知,仅有少数动物——黑火甲虫、某些蛇和一种哺乳动物(即普通的吸血蝙蝠)能感知微弱的热辐射,这些动物借助这一能力来捕食猎物。
大多数哺乳动物的鼻尖上都有裸露、光滑的皮肤,但狗的鼻尖湿润,比周围环境冷,而且拥有丰富的神经,这或许表明狗不仅可以检测气味,还可以探测热量。
为验证这一想法,瑞典隆德大学和匈牙利厄特埃洛夫·罗兰大学的研究人员训练了3只宠物狗,让其可在同等距离外(1.6米)的温暖物体(31℃)和环境温度物体之间做出选择。接受训练后,他们对狗进行双盲实验以测试其技能,结果表明,3只狗均成功找到发出微弱热辐射的物体。
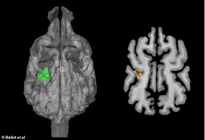
他们发现,同时向狗展示发射中等或弱热辐射的物体,狗大脑内的左侧体感皮层对温暖热刺激比对中等刺激更敏感。他们也在这一区域发现了14个体素簇,但没有在右侧体感皮层发现任何簇,且狗的大脑中也没有任何区域对中等刺激有反应。
研究人员说,这两个实验显示,狗就像吸血蝙蝠一样,可以感知微弱的热点,且狗大脑内的特定区域会被这种红外辐射激活。他们怀疑狗是从其祖先灰狼那儿继承了这一能力。
美国科罗拉多大学博尔德分校名誉教授马克·贝科夫未参与该研究。他表示:“这项研究提供了一个了解狗高度进化鼻子的感官世界的新窗口。”宾夕法尼亚州立大学机械工程系名誉教授加里·塞特尔斯则认为:“狗的热探测技能可能对长距离狩猎无用,当然,最终结果如何仍需进一步研究。”
相关报道:研究发现狗的鼻子能像红外线传感器一样“感知”微弱的热辐射
(蜘蛛网eeook.com报道)据cnBeta:众所周知,狗拥有令人难以置信的嗅觉,但是新的研究发现了狗狗用它们的鼻子寻找出路的另一种方式。科学家发现了所谓的狗狗的“全新感官”,观察它们的湿鼻尖如何被用来感知附近物体的热量,就像热红外传感器一样。
这项研究是由瑞典隆德大学的科学家以及匈牙利罗兰大学的一个团队进行的,他们进行了两次实验,发现了这种令人惊奇的新犬科动物技能。
隆德大学的研究人员进行了一项行为研究,向三只狗展示了两个物体,一个中性物体的温度大约为环境温度,一个具有毛茸茸哺乳动物的表面温度。通过训练,这些狗狗便能够根据辐射热在1.6米(5.2英尺)的距离内区分两个物体。
同时,罗兰大学的科学家使用磁共振成像技术观察了狗狗大脑不同区域对热刺激的反应情况,这些温度与其他实验大致相同。温度较高的物体会在左体感关联皮层(大脑处理感觉信息的部分)中引起反应,科学家得出结论认为,这很可能来自鼻腔(鼻子周围潮湿、无毛的皮肤)。
隆德大学教授罗纳德·克罗格(Ronald Kröger)说:“考虑到狗和人共同生活了15000年,我们花了相当长的时间才发现它。”
科学家们认为,这里有一个进化论值得我们学习,这表明像狼这样的捕食者是如此有效的猎人,因为它们似乎能够从远处发现猎物。同时,它们狩猎的生物将受益于某种伪装,例如,这可以解释为什么某些动物具有浓密的皮毛。此外,这些发现对于确定自然灾害后最适合进行狩猎和营救行动的犬种可能是有用的。
克罗格表示:“狗的鼻子必须很冷才能找到温暖的人体。我们的结果表明,您不应该选择因繁殖而无法冷却鼻子的狗。另外,如果除了嗅觉还能使用感知热量的技能,训练狗狗会更有效。”
该研究发表在《科学报告》杂志上。















