单个基因突变影响人类大脑皮层演化
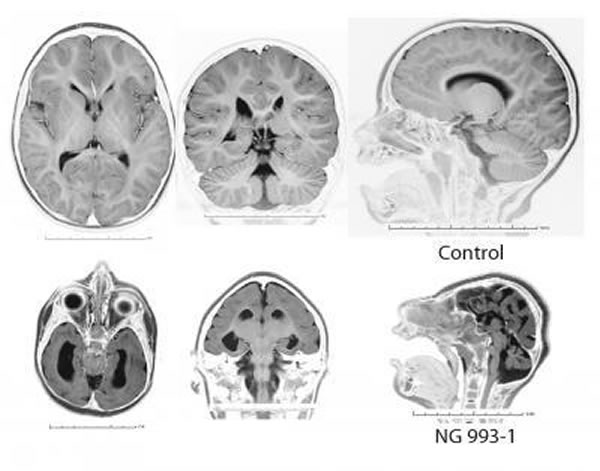
上图为正常人 下图为严重头小畸形
人类的演化非常重要的特征就是我们大脑的演化,无论是莎士比亚所创作的诗歌还是人类发明的原子弹,大脑皮层(cerebral cortex)在其中都起着至关重要的作用,但只要单个基因发生突变,就能影响到大脑皮层的大小和形态。
这项研究的研究材料来源于一个土耳其家庭和两个巴基斯坦家庭中最严重的头小畸形(microcephaly)孩子的案例。这些孩子的大脑只有正常人的十分之一,而且他们缺少正常人脑所应有的大脑皮层结构。
研究人员发现他们都是因为在相同的一个基因上发生了突变——中心体NDE1,而这种突变参与到了细胞分裂中,从而导致了大脑的畸形发育。
这项研究齐聚了全球各知名大学的科学家,包括耶鲁大学(Yale University)、剑桥大学(University of Cambridge)、哈佛大学(harvard university)和美国西北大学(Northwestern university)的研究人员都参与到了这项研究合作中。耶鲁大学的神经生物学和遗传学教授M. Gunel就说:“这一基因对于大脑皮层的演化,甚至人类大脑的演化都起到了非常重要的作用。”
Gunel说:“在过去五百万年时间里人类大脑皮层不断的扩大,这一奇迹现象到底是如何发生的,我们仍不能完全解释,但我们这次研究所发现的单个基因很可能是导致大脑皮层进一步演化的主要因素,我们正一步步靠近事实的真相。”
化石网 企鹅替身













