木乃伊牙中塞有蘸药布团 或能证明古埃及人在牙科领域的尝试
研究人员通过CT扫描图片观察木乃伊的口腔,并重建了一张显示磨损门牙的3D图。
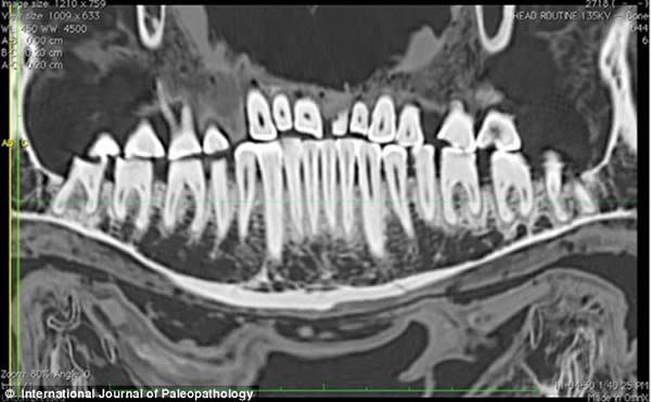
上图是木乃伊口腔CT扫描图,可以看到亚麻布团被填充在右部。
相比过去的研究器材,CT扫描仪使研究团队能够更清晰详尽地观察填充物。
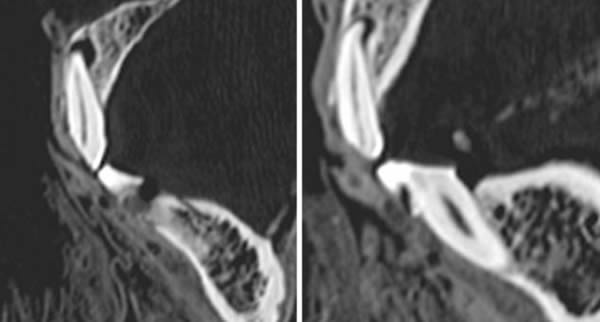
CT片显示了木乃伊左边第一颗门牙(左图)和右边第二颗门牙(右图)的磨损状况。
据英国《每日邮报》10月10日报道,专家日前对埃及古城底比斯的一具木乃伊进行了CT扫描,发现其口腔龋洞中塞满了蘸有药物的亚麻布团。这一发现或能证明古埃及人当时就不断在牙科领域进行尝试。
《古病理学国际期刊》的文章称,来自加拿大西安大略大学的安德鲁·韦德利用一种新型高分辨率CT仪扫描木乃伊的牙齿和身体,并且根据扫描片重建了3D图以进行更为细致的研究。从CT扫描片可以看到,木乃伊的一颗牙齿龋洞里塞着一块亚麻布团。这块亚麻布之前可能经过无花果汁液或雪松油等药物的浸泡,随后被塞入下颚第一、二颗臼齿中间,也就是最大、也是最疼的龋洞里。这么做既能起到抵挡食物残渣进入龋洞的屏障作用,又能利用亚麻布上的药物缓解疼痛。
研究人员介绍说,这是已知的首例古埃及牙齿填充疗法,“坝基补缝填坑处理,是指在相邻两颗牙齿较大的龋洞里填补防护物,一般是用药物填充。而设置屏障保护是古埃及牙科治疗的独特案例。这个案例中的牙科填充处理是迄今为止古埃及木乃伊研究中很独特的,也是极少数记录在册的古埃及牙科干预措施中的一种。”
事实上,牙医术在古埃及非常普遍,有记录显示它至少在大金字塔建造之前就存在了。由于古埃及人食用的粗磨谷物对牙齿很不好,所以在当时牙病并不少见。然而,这一木乃伊的发现让研究人员确信,古埃及存在一批牙科专家,他们曾不断进行医学的试验练习。研究团队表示,尽管能够证明存在其他干预疗法的证据还比较缺乏,但这一发现突出了找寻古代社会填充疗法及其他治疗牙齿的干预措施的必要性。
据悉,这具木乃伊是一名男性,死于20多岁或30出头,生活年代应该是希腊国王统治时期的埃及。从其外观和木乃伊的结构看,他的地位应该比较显赫。他的口中有许多脓疮和龋洞,尽管还不能明确查明死因,但研究人员认为可能是牙齿病变发展到某一阶段,引起了鼻窦感染,从而形成了潜在的致命源。目前这具木乃伊被放置在麦吉尔大学(McGill University)的雷德帕思博物馆,但其第一埋葬地点尚不得而知。
早在20世纪90年代中期,就有研究人员发现了木乃伊口中的小麻布团,但当时的扫描技术太低以至于不能给出更全面的分析,而本次研究使用的高分辨率扫描仪的功能是之前扫描仪的6倍。
中国日报网 信莲
















