《科学报告》:科学家发现人体新器官“间质” 与癌细胞扩散有关
科学家认为,「间质」或许就是导致癌细胞扩散至其他器官的原因。
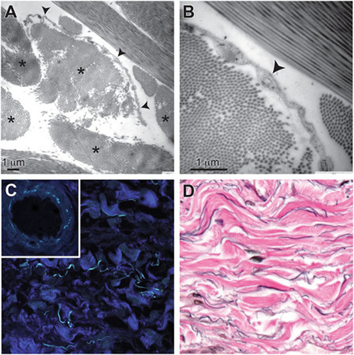
(蜘蛛网eeook.com报道)据ETtoday:由于科学技术与解剖学的发达,人们一直以为科学家早已对人体结构研究透彻,但在27日出刊的《科学报告》(Scientific Reports)期刊中,发表了一篇最新研究报告指出,人体内有一个一直被忽略的重要「器官」,且是所有器官中体积最大的一个,还是导致癌细胞会转移至其他部位最重要的因素。
据《新科学人》(New Scientis)及《生活科学》(Live Science)报导,这次科学家发现的「新器官」叫做「间质」(Interstitium),是一个充满液体的组织空间,分布在皮肤表皮下方、消化道、肺、血管、肌肉、泌尿系统等器官周围,在体内相互连接、分布广泛,是一个由强大柔韧蛋白质支撑的复杂腔室。另外,「间质」还能根据人体状况膨胀或收缩,犹如缓冲器,保护身体其他器官或组织免遭损害。
在此前,由于科学家的显微分析都涉及细胞脱水,因此少了液体支撑的腔室会变得扁平,在显微镜下呈现一些裂纹而被简单假定为人工产物,所以从未被正确辨认,只以为是结缔组织,但是纽约Mount Sinai Beth Israel 医学中心的医务人员David Carr-Locke、Petros Benias 2015年透过新型内视镜检查病人胆管时,意外发现一种与胆管已知解剖结构不匹配的腔体。
美国纽约大学医学院病理学家泰伊斯(Neil Theise)获悉后,利用某种方式进行胆管活检(避免样本脱水),终于发现「间质」并不是过往以为的,只是一个比较强韧、充满蛋白质的「墙壁」而已。
泰伊斯表示,淋巴液是一种含有抗感染白血细胞的液体,而淋巴液来源于「间质」并流入淋巴系统,因此似乎可以解释为什么癌症细胞会流入淋巴系统,而且,「间质」充满液体并在各个重要器官周围活动,就成了癌细胞的「高速公路」。
科学家表示,「间质」结构功能独特且唯一,符合了成为器官的定义标准,因此希望能被归类为第80个器官,但是否能成功仍有待商榷。
泰伊斯指出,发现「间质」的存在无疑是医学的大跃进,而且它所出现的排空状态有望在未来成为有利的诊断工具之一,「当人体出现肿瘤时,间质就如『放水流』,为科学家研究肿瘤在人体扩散的方式开启了另一扇窗。」













