人体又发现新器官?科学家为何现在才发现“间质”
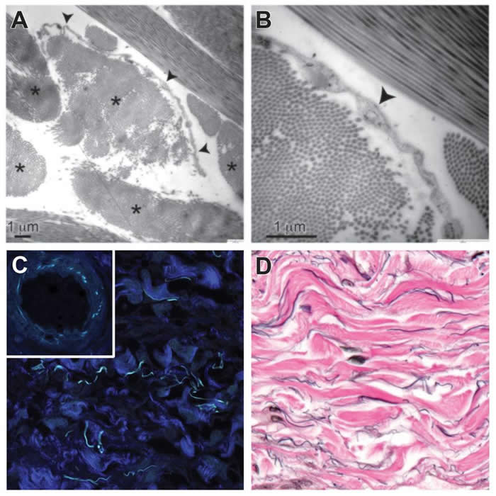
间质的胶原蛋白束以星号标记(上图左);箭头指向其中一个细胞(上图右);深蓝色的是胶原蛋白束,而浅蓝色的则可能是弹性蛋白(下图左);染成黑色的弹性蛋白纤维沿着染成粉红色的胶原蛋白束(下图右)。 PHOTOGRAPH BY NEIL THEISE AND DAVID CARR-LOCKE, SCIENTIFIC REPORTS
(蜘蛛网eeook.com报道)据美国国家地理(撰文:Sarah Gibbens 翻译:曾柏谚):科学家发现位于皮肤之下,以及其他器官之间的「间质」(interstitium),对间质的研究最终或许能促进疾病治疗。
科学团队表示,就在你的皮肤之下,可能潜藏着一个近日才鉴别出来的新器官。纽约大学医学院研究团队在一份刊登于《科学报告》期刊的新研究提及,他们发现了一种称为「间质」的新器官。
这个新器官几乎无所不在:在皮肤之下、围绕着动脉与静脉、包裹着肌肉之间的纤维组织、铺衬着我们的消化道、肺脏与泌尿系统。
间质看起来就像一张网,由许多充满液体的腔室经由胶原蛋白与弹性蛋白构成的网相连而成。科学家原先认为这层网状物只是单纯的致密结缔组织。
而这个器官,似乎就在众目睽睽之下隐身了许久。科学家解释说,过去之所以忽略了这个器官,问题出在研究方法上。在以显微镜检视样本之前,样本会先经过切片与化学处理等手续,使科学家更容易鉴别出那些关键的特征。但尽管这些步骤有利于呈现细节,但却会让样本脱水。样本一旦失去水分,整个腔室就会塌陷,就像是好几层楼的房子突然倒塌一般,整个结构会折叠成像美式松饼那样。
为了找到这些储有间质液体的囊室,医学研究人员着手观察活组织,而非已经死亡的组织标本。他们采取称为共轭焦雷射显微内视镜(confocal laser endomicroscopy)的探测技术,以微型摄影探头达成人体显微内视。内视镜会以雷射照射组织,然后再以感应器去分析反射回来的萤光图样。
意外的发现
科学家是在观察胆管的时候才首次注意到间质的腔室。原先他们以为这可能不过是致密组织的裂口,后来这些影像来到了尼尔.泰伊斯(Neil Theise)的手上,他是纽约大学医学院教授与本篇研究的作者。
他指出,人体大约有七成是水,而这七成中又有三分之二储存在细胞之中,至于其余的三分之一据泰伊斯说,所知有限。 「现在我们讨论的,正是尚未被探讨过的那些其余的细胞外液。」
除了能说明其余的体液下落之外,这些腔室或许还能解释其他重要的功能。泰伊斯说:「就像避震器一般,并非由坚硬的材质构成。」
根据泰伊斯的理论,间质的功能在于提供淋巴来源,这种在全身淋巴系统中流淌的体液维持我们的免疫力。泰伊斯说,发现疾病如何透过身体的这部分来散播,有助于研究人员深入厘清癌症如何扩散。
泰伊斯进一步提问:「我们能透过检测间质内含的体液来提早发现疾病吗?我们能破解机制进而阻断疾病扩散吗?」
前景与怀疑
同样投身于体液研究的维吉尼亚理工学院生医工程师珍妮佛.蒙森(Jennifer Munson),虽然并未参与此次研究,不过仍相当看好这项研究的前景。
蒙森表示:「我想这篇论文呈现的重点在于,以新方法观察与拍摄组织的优点何在。将组织干燥的老方法,确实会让我们失去许多结构的资讯。」
蒙森说,她完全相信这些结构存在,不过在推测其功能前,仍然希望能看到更多研究,以及称呼其为一个新「器官」是否准确。
蒙森补充了几句:「我对这项发现真的感到非常兴奋,不过就像所有科学家一样,对所有事物依然保持一点怀疑。」
泰伊斯表示,他很清楚有许多怀疑的声音围绕着他的新发现,不过他仍无所畏惧地踏入这个领域。在2005年,他在《自然》期刊发了篇文章挑战「细胞学说」的重要性(这个学说主张细胞是所有生命最基本的单位)1;而在2001年他也曾发表论文,提及可以让成体干细胞表现出与胚胎干细胞相似的反应。
泰伊斯补述道:「总是会遇到不曾看过的未知事物,我对自然比我们以为的还要复杂深感敬畏。」













