首页
天文
航天
地球
科技
环保
医学
健康
地理
军事
历史
动物
植物
古生物
恐龙
考古
奥秘
探险
自然
外星人
水怪
野人
灵异
发明
博览
蜘蛛网
医学
发现一种新型草鱼呼肠孤病毒
草鱼(蜘蛛网eeook.com插图) (蜘蛛网eeook.com)据中国科学报:中国水产...
在小鼠中发现可能的男性避孕靶标
在小鼠中发现可能的男性避孕靶标(蜘蛛网eeook.com插图) (蜘蛛网eeook.com)据...
美国遗传学家:人类是由公猪跟母黑猩猩杂
美国遗传学家:人类是由公猪跟母黑猩猩杂交而成 (蜘蛛网eeook.com)据国际在线...
现代人身上发现尼安德特人病毒DNA
有多少现代人类携带尼安德特人的病毒? (蜘蛛网eeook.com)据凤凰科技:新科学...
点燃地球生命起源火花的一个分子?
点燃地球生命起源火花的一个分子?(蜘蛛网eeook.com插图) (蜘蛛网eeook.com)...
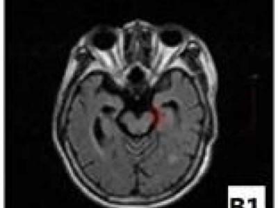
脑梗死患者为何出现偏瘫肢体运动功能恢复
磁共振检测显示,运动诱发电位阴性脑梗死患者患侧大脑脚面积于病后6个月时已经出...
从静息态脑功能网络揭示老年痴呆的发生
早期轻度认知障碍和晚期轻度认知障碍患者静息态脑功能网络中中间中心度存在差异的...
西班牙科学家计划实施灭绝野山羊克隆计划
1999年4月20日,研究人员正在观察Celia的组织样本。 现在我们能够在奥德萨国家...
最低限度的Y染色体?
显微培养皿 (蜘蛛网eeook.com)据EurekAlert!:在一个用小鼠所做的研究中,Yas...
为什么男人具有更大的鼻子?
为什么男人具有更大的鼻子? (蜘蛛网eeook.com)据凤凰科技:美国国家地理报道...
1...
上一页
126
127
128
129
130
131
132
133
134
135
...187
下一页
最新资讯
首个宇宙碰撞在距离
艺术表现恒星北落师门环绕盘中两个行星相撞的过程。图片来源:托马斯·穆勒(MPIA)...
两颗中子星可能形成
这位艺术家的概念展示了一个假设的事件,称为超千新星。一颗大质量恒星在超新星爆炸...
古代蜜蜂在骨头内产卵
一块哺乳动物头骨化石,牙齿窝里的沉积物,原来是史前蜜蜂筑的巢穴。图片来源:拉萨...
腹泻拖慢了罗马士兵
位于英格兰北部靠近哈德良长城的罗马堡垒温多兰达的三世纪浴场和厕所建筑。图片来源...
星际彗星3I/ATLAS在
星际彗星3I/ATLAS在X射线下发光,它可能隐藏着我们从未见过的气体。图片来源:ESA/...
天文学家在银河系半
半人马座欧米茄球状星团。图片来源:查克·阿尤布(蜘蛛网eeook.com)据今日科学新...
天文学家发现一个行
示例是基于每个伴星的深曝光10′′ K波段图像堆栈的Keck/NIRC2信噪比映射。这些映射...
银河系边缘巨大的新
美国宇航局的詹姆斯·韦伯太空望远镜最近在我们银河系边缘的Sh2-284星团中拍摄到了...
地球的起源故事可能
本研究假设的系统的示意图。图片来源:科学进展(2025年)。DOI: 10.1126/sciadv....
Terra Amata遗址揭
Terra Amata遗址有助于理解欧洲最早人类的技术灵活性。图片来源:西班牙国家人类进...