首页
天文
航天
地球
科技
环保
医学
健康
地理
军事
历史
动物
植物
古生物
恐龙
考古
奥秘
探险
自然
外星人
水怪
野人
灵异
发明
博览
蜘蛛网
医学
南方科技大学生物系副教授贺建奎宣称成功
基因编辑技术存在道德论理争议。贺建奎受访时解释编辑基因的技...
中国南方科技大学科学家贺建奎宣布世界首
中国南方科技大学科学家贺建奎宣布世界首例基因编辑婴儿诞生(蜘蛛网eeook.com报道...
俄罗斯新西伯利亚国家医学研究中心研发的
俄罗斯新西伯利亚国家医学研究中心研发的人造心脏在迷你猪身上...
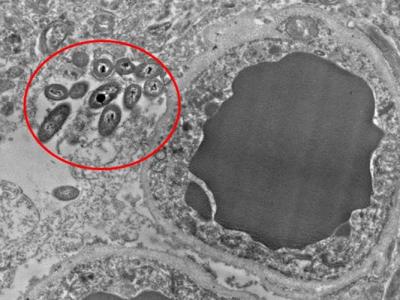
美国脑神经科专家在人类大脑组织中发现肠
研究人员在大脑组织切片的血管旁,发现肠道细菌(红圈)。(蜘...
美国科学家发现癌症前兆:身体细胞中特殊
美国科学家发现癌症前兆:身体细胞中特殊的SGLT2分子增多(蜘蛛网eeook.com报道)美...
估测肿瘤DNA片段的大小可提高基于血液的
估测肿瘤DNA片段的大小可提高基于血液的对癌症的检测(蜘蛛网...
《缠结之树》(The Tangled Tree)解释为
一本名为《缠结之树》(The Tangled Tree)的新书,解释了为什...
哺乳动物肠道内细菌的独特组成是从其母亲
哺乳动物肠道内细菌的独特组成是从其母亲那里继承的(蜘蛛网e...
美国大学制3D打印脑神经组织 首个取自活
塔夫斯大学研制首个以活人干细胞3D打印大脑组织。(蜘蛛网eeo...
新加坡专家得到一种有延缓衰老作用的“鸡
新加坡专家得到一种有延缓衰老作用的“鸡尾酒”(蜘蛛网eeook...
1...
上一页
64
65
66
67
68
69
70
71
72
73
...187
下一页
最新资讯
Terra Amata遗址揭
Terra Amata遗址有助于理解欧洲最早人类的技术灵活性。图片来源:西班牙国家人类进...
天文学家在金牛座发
示例:来自每个伴星的深度曝光10′′ K波段图像栈的Keck/NIRC2信噪图。这些图是通过...
太平洋深渊中伪装成
头足类分布于东北太平洋的深渊。(a) 显示每个分类单元所有目击记录的地图。(b)...
星际彗星3I/ATLAS消
彗星3I/ATLAS在这张由夏威夷Maunakea双子座北方星的双子座多天体光谱仪(GMOS)拍摄...
人工智能刚刚破解了
日冕物质抛射与太阳色球层的混合图像。图片来源:SOHO—ESA & NASA(蜘蛛网eeo...
天文学家发现了隐藏
三个时期PACO生成的S/N地图。图像比例显示在右下角,行星的位置用箭头表示。左侧颜...
大海守护了这个秘密
法国布列塔尼塞恩岛附近一堵古老的水下城墙上排列着立石。图片来源:Hal Open Scie...
科学家发现6600多万
地狱溪沧龙,克里斯托弗·迪皮亚扎重建。图片来源:克里斯托弗·迪皮亚扎(蜘蛛网e...
地球的秘密海洋:4
在一个微小的实验样本中探测水。图片来源:杜治学教授团队(蜘蛛网eeook.com)据今...
研究发现,生活在村
亚平宁棕熊的特写照片。图片来源:Bruno D'Amicis/分子生物学与进化(蜘蛛网eeook....