首页
天文
航天
地球
科技
环保
医学
健康
地理
军事
历史
动物
植物
古生物
恐龙
考古
奥秘
探险
自然
外星人
水怪
野人
灵异
发明
博览
蜘蛛网
医学
《重症医学》:遭遇严重外伤时O型血的病
《重症医学》:遭遇严重外伤时O型血的病人死亡率更高(蜘蛛网...
美国耶鲁大学团队成功让猪脑在与身体分离
美国耶鲁大学团队成功让猪脑在与身体分离情况下存活36小时(蜘...
常潜水至基因转变 “海上游牧民族”印尼
印尼巴瑶族人脾脏较常人大一半。巴瑶族靠潜水找食物。(蜘蛛网...
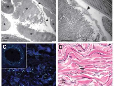
人体又发现新器官?科学家为何现在才发现
间质的胶原蛋白束以星号标记(上图左);箭头指向其中一个细胞...
《微生物组》:狗和人类肠道菌群的基因、
《微生物组》:狗和人类肠道菌群的基因、饮食反应比我们之前认...
《Cell Reports》:FGF21基因会影响人们
《Cell Reports》:FGF21基因会影响人们对饮酒和甜食的嗜好程...
全部失灵——诺如病毒是如何做到的
全部失灵——诺如病毒是如何做到的(资料图)(蜘蛛网eeook.c...
剑桥大学研究人员揭示癌症传染原因
剑桥大学研究人员揭示癌症传染原因(蜘蛛网eeook.com报道)剑...
《Cell Stem Cell》:高龄老人的大脑海马
《Cell Stem Cell》:高龄老人的大脑海马体内也能够生成新的神...
科学家指用来治疗虱子和疥疮的伊维菌素可
科学家指用来治疗虱子和疥疮的伊维菌素可杀蚊(蜘蛛网eeook.c...
1...
上一页
70
71
72
73
74
75
76
77
78
79
...187
下一页
最新资讯
星际彗星3I/ATLAS在
星际彗星3I/ATLAS在X射线下发光,它可能隐藏着我们从未见过的气体。图片来源:ESA/...
天文学家在银河系半
半人马座欧米茄球状星团。图片来源:查克·阿尤布(蜘蛛网eeook.com)据今日科学新...
天文学家发现一个行
示例是基于每个伴星的深曝光10′′ K波段图像堆栈的Keck/NIRC2信噪比映射。这些映射...
银河系边缘巨大的新
美国宇航局的詹姆斯·韦伯太空望远镜最近在我们银河系边缘的Sh2-284星团中拍摄到了...
地球的起源故事可能
本研究假设的系统的示意图。图片来源:科学进展(2025年)。DOI: 10.1126/sciadv....
Terra Amata遗址揭
Terra Amata遗址有助于理解欧洲最早人类的技术灵活性。图片来源:西班牙国家人类进...
天文学家在金牛座发
示例:来自每个伴星的深度曝光10′′ K波段图像栈的Keck/NIRC2信噪图。这些图是通过...
太平洋深渊中伪装成
头足类分布于东北太平洋的深渊。(a) 显示每个分类单元所有目击记录的地图。(b)...
星际彗星3I/ATLAS消
彗星3I/ATLAS在这张由夏威夷Maunakea双子座北方星的双子座多天体光谱仪(GMOS)拍摄...
人工智能刚刚破解了
日冕物质抛射与太阳色球层的混合图像。图片来源:SOHO—ESA & NASA(蜘蛛网eeo...