首页
天文
航天
地球
科技
环保
医学
健康
地理
军事
历史
动物
植物
古生物
恐龙
考古
奥秘
探险
自然
外星人
水怪
野人
灵异
发明
博览
蜘蛛网
医学
科学家发现可吸震人体组织“间质” 或为
“间质”组织形成了一个蔓延全身的网络。“间质”注满液体后,...
1300万人组成的系谱树告诉我们什么?
这棵系谱树从新的庞大资料集搜集而来,显示包含6000人在内的七...
巴拿马某些两栖动物正对致命真菌产生抵抗力
巴拿马某些两栖动物正对致命真菌产生抵抗力(蜘蛛网eeook.com...
科学家发现限制肿瘤躲避免疫系统的能力
科学家发现限制肿瘤躲避免疫系统的能力(蜘蛛网eeook.com报道...
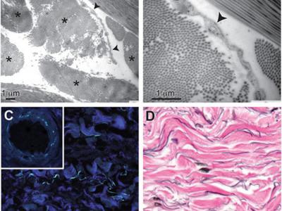
《科学报告》:科学家发现人体新器官“间
科学家认为,「间质」或许就是导致癌细胞扩散至其他器官的原因...
美国医生发现一个新的人体器官
美国医生发现一个新的人体器官(蜘蛛网eeook.com报道)美国医...
研究人员借助三维成像技术发现人类精子尾
科学家发现人类精子细胞的尾部具有左旋结构。 PHOTOGRAPH BY ...
两个基本生物机制实导致人类基因库逐渐恶化
两个基本生物机制实导致人类基因库逐渐恶化(蜘蛛网eeook.com...
7种最著名的克隆哺乳动物
(蜘蛛网eeook.com报道)首批克隆实验于20世纪50年代用青蛙开展,但直到1962年成年...
实验室中的人羊混种将帮助更了解如何培养
这个猪胚胎在发育早期被注射人类细胞后,存活时间已达四周。这...
1...
上一页
71
72
73
74
75
76
77
78
79
80
...187
下一页
最新资讯
星际彗星3I/ATLAS在
星际彗星3I/ATLAS在X射线下发光,它可能隐藏着我们从未见过的气体。图片来源:ESA/...
天文学家在银河系半
半人马座欧米茄球状星团。图片来源:查克·阿尤布(蜘蛛网eeook.com)据今日科学新...
天文学家发现一个行
示例是基于每个伴星的深曝光10′′ K波段图像堆栈的Keck/NIRC2信噪比映射。这些映射...
银河系边缘巨大的新
美国宇航局的詹姆斯·韦伯太空望远镜最近在我们银河系边缘的Sh2-284星团中拍摄到了...
地球的起源故事可能
本研究假设的系统的示意图。图片来源:科学进展(2025年)。DOI: 10.1126/sciadv....
Terra Amata遗址揭
Terra Amata遗址有助于理解欧洲最早人类的技术灵活性。图片来源:西班牙国家人类进...
天文学家在金牛座发
示例:来自每个伴星的深度曝光10′′ K波段图像栈的Keck/NIRC2信噪图。这些图是通过...
太平洋深渊中伪装成
头足类分布于东北太平洋的深渊。(a) 显示每个分类单元所有目击记录的地图。(b)...
星际彗星3I/ATLAS消
彗星3I/ATLAS在这张由夏威夷Maunakea双子座北方星的双子座多天体光谱仪(GMOS)拍摄...
人工智能刚刚破解了
日冕物质抛射与太阳色球层的混合图像。图片来源:SOHO—ESA & NASA(蜘蛛网eeo...