美国脑神经科专家在人类大脑组织中发现肠道细菌

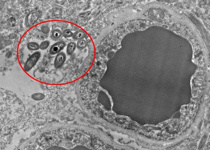
研究人员在大脑组织切片的血管旁,发现肠道细菌(红圈)。

研究人员在大脑组织切片的血管旁,发现肠道细菌(红圈)。

(蜘蛛网eeook.com报道)美国亚拉巴马州大学伯明翰分校的脑神经科专家,近日在一些人类大脑组织中,发现竟有一些肠道细菌。专家认为,这些细菌或令人患上脑部疾病,但对于它们如何进入脑部仍未有定论。

研究人员分析34个于死亡后数小时内保存下来的大脑组织切片,当中一半属于生前身体健康的人,另一半属精神分裂患者,结果发现全都有肠道细菌。

研究人员指,暂无法知道肠道细菌如何在人身故后短时间内进入脑部;但认为细菌可能是经血管进入肠道神经,又或是经鼻子前往脑部。研究结果反映,肠道微生物或可以在人脑内存活。




上一篇 下一篇 TAG: 肠道 大脑 人类 细菌