首页
天文
航天
地球
科技
环保
医学
健康
地理
军事
历史
动物
植物
古生物
恐龙
考古
奥秘
探险
自然
外星人
水怪
野人
灵异
发明
博览
蜘蛛网
健康
世界卫生组织将召开紧急的会议共商“中东
中东呼吸道综合征病毒 虽然最新爆发的“中东呼吸系统综合症”(MERS CoV)还没有...
科学家找到预测自闭症新法
新研究测量儿童波纹脑电波可预测自闭症 一项新研究表明,在蹒跚学步的孩子聆听词...
药物的7种奇怪的副作用
药物的7种奇怪的副作用 处方药喜忧参半。数百万人靠它们缓解威胁生命的疾病。但...
研究称口香糖在体内残留7年是一种误解
口香糖基能够抵挡胃酸和肠道消化酶分解 设想你在2006年夏天吞下了一块口香糖,感...
中东出现新的致命病毒“中东呼吸综合征”
中东出现新的致命病毒“中东呼吸综合征”(MERS) 中东出现新的致命病毒“中东呼...
可视化快速检测技术让“地沟油”无所遁形
格林地沟油以不同比例掺入合格绿宝大豆油后检测效果图,百分数表示地沟油在合格大...
个体易感者更易发生三叉神经痛
61岁男性患者行右枕部硬脑膜动静脉瘘手术前(A)和10年后(B)的血管造影。白箭头...
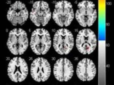
哪些脑区异常可导致帕金森病患者的痴呆?
帕金森病伴痴呆患者较不伴痴呆患者大脑灰质体积显著减少的区域 帕金森是一个多系...
药物组合帮巨噬细胞“吃掉”肿瘤
在合成SIRPα蛋白(CV1单核细胞)和抗癌药物利妥昔单抗的双重打击下,小鼠体内的...
IQ增长并不代表人类越来越聪明
人类的智力正在发生着怎样的变化? 随着时代的发展,人类正变得越来越聪明还是越...
1...
上一页
314
315
316
317
318
319
320
321
322
323
...348
下一页
最新资讯
星际彗星3I/ATLAS消
彗星3I/ATLAS在这张由夏威夷Maunakea双子座北方星的双子座多天体光谱仪(GMOS)拍摄...
人工智能刚刚破解了
日冕物质抛射与太阳色球层的混合图像。图片来源:SOHO—ESA & NASA(蜘蛛网eeo...
天文学家发现了隐藏
三个时期PACO生成的S/N地图。图像比例显示在右下角,行星的位置用箭头表示。左侧颜...
大海守护了这个秘密
法国布列塔尼塞恩岛附近一堵古老的水下城墙上排列着立石。图片来源:Hal Open Scie...
科学家发现6600多万
地狱溪沧龙,克里斯托弗·迪皮亚扎重建。图片来源:克里斯托弗·迪皮亚扎(蜘蛛网e...
地球的秘密海洋:4
在一个微小的实验样本中探测水。图片来源:杜治学教授团队(蜘蛛网eeook.com)据今...
研究发现,生活在村
亚平宁棕熊的特写照片。图片来源:Bruno D'Amicis/分子生物学与进化(蜘蛛网eeook....
为什么有些动物会吃
科学家们仍未完全理解为什么有些动物会吃自己的后代。 图片来源:DepositPho...
金属探测爱好者偶然
遗骸很可能是居住在比尤恩的已婚妇女遗骸。图片:雷蒙德·索瓦奇,NTNU大学博物馆(...
“霍比特人”在5万
佛罗勒斯人,也被称为“弗洛勒斯人”或“霍比特人”,是一种已灭绝的小型古人类物种...