科学家开发出新药物FexD可逆转肠道炎症 就像主复位开关一样发挥作用
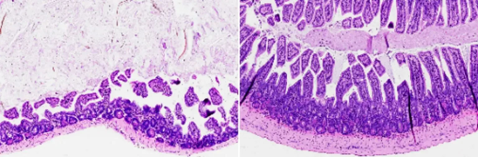
索尔克研究人员发现化合物FexD可以治疗小鼠的肠道炎症。症状类似于炎症性肠病的小鼠的肠道内壁细胞发生了变化(左),通过治疗得到了逆转(右)。资料来源:索尔克研究所
从左起。Ruth Yu, Ye Zheng, Michael Downes, Ron Evans, Yuwenbin Li, and Annette Atkins. 资料来源:索尔克研究所
(蜘蛛网eeook.com)据cnBeta:索尔克研究所的科学家们已经开发出一种新的药物,它就像肠道中的一个主复位开关。这种化合物被称为FexD,此前已被发现可以燃烧脂肪,降低胆固醇,并抵御小鼠的结直肠癌发展。现在,该团队报告说,FexD还能预防和逆转炎症性肠病小鼠模型中的肠道炎症。这项研究于2022年12月12日发表在《美国国家科学院院刊》上。
"萨尔克开发的药物FexD为恢复消化系统的平衡和治疗目前非常难以控制的炎症性疾病提供了一种新的方法,"该研究的资深作者、萨尔克教授Ronald Evans说。埃文斯也是索尔克基因表达实验室的主任和March of Dimes分子和发育生物学的主席。
据CDC估计,大约1.3%的美国成年人(约300万人)受到炎症性肠病(IBD),包括克罗恩病和溃疡性结肠炎的影响。这是一种以胃肠道慢性炎症为特征的疾病,肠道内有过多的免疫细胞和炎症信号分子,称为细胞因子。现有的治疗方法大多通过抑制整个免疫系统或针对个别细胞因子来发挥作用。它们只对部分患者有效,并带有大量的明显副作用。
埃文斯的实验室研究法尼索X受体(FXR)已经超过二十年了。FXR是一种主调控蛋白,能感知输送到消化系统的胆汁酸,以帮助消化食物和吸收营养。当FXR在用餐开始时检测到胆汁酸的变化时,它通过开启和关闭与消化、血糖和脂肪代谢有关的几十个细胞程序,使身体为食物的涌入做好准备。
埃文斯和他的同事们在2015年开发了一种名为费沙拉明的药丸,可以激活肠道中的FXR。他们最初表明,这种药丸可以阻止体重增加,并控制小鼠的血糖。2019年,他们表明,更新版的fexaramin-FexDan也能防止肠道内干细胞的癌症相关变化。他们的工作表明,FXR在调控炎症方面也发挥了作用。
"每次你吃东西时,当你的肠道细胞遇到新的分子时,你就会在肠道中引起少量的炎症。FXR确保炎症在正常进食期间得到控制,"这篇新论文的共同通讯作者、高级职员科学家Michael Downes说。
工作中,埃文斯的小组发现,激活FXR可以用来缓解炎症驱动的疾病的症状。当研究人员给患有IBD的小鼠每天口服FexD的剂量,无论是在肠道炎症发生之前还是之后,该药物都能防止或治疗炎症。通过激活FXR,FexD减少了一类称为先天性淋巴细胞的高度炎症免疫细胞的浸润。反过来,已经牵涉到IBD的细胞因子的水平下降到健康小鼠的正常水平。
该研究的共同作者、高级研究科学家安妮特-阿特金斯说:"当我们激活FXR时,我们恢复了肠道中适当的信号通路,使状况恢复到一个平衡的水平。"
细胞因子并没有被FexD完全阻断,因为FXR的作用更像是一个复位按钮,而不是免疫系统的关闭开关。这意味着,在服用FexD后,免疫系统继续以正常方式运作。这种化合物仍然必须进行优化以用于人类,并在临床试验中进行测试,但研究人员说他们的发现提供了关于肠道健康和炎症之间复杂联系的重要信息,并可能最终带来对IBD的治疗方法。
第一作者Ting Fu说:"在IBD患者中,我们的策略有可能在预防疾病发作方面非常有效,并作为一种长期维持药物。"














