基尔大学:白血病遗传基础的新见解
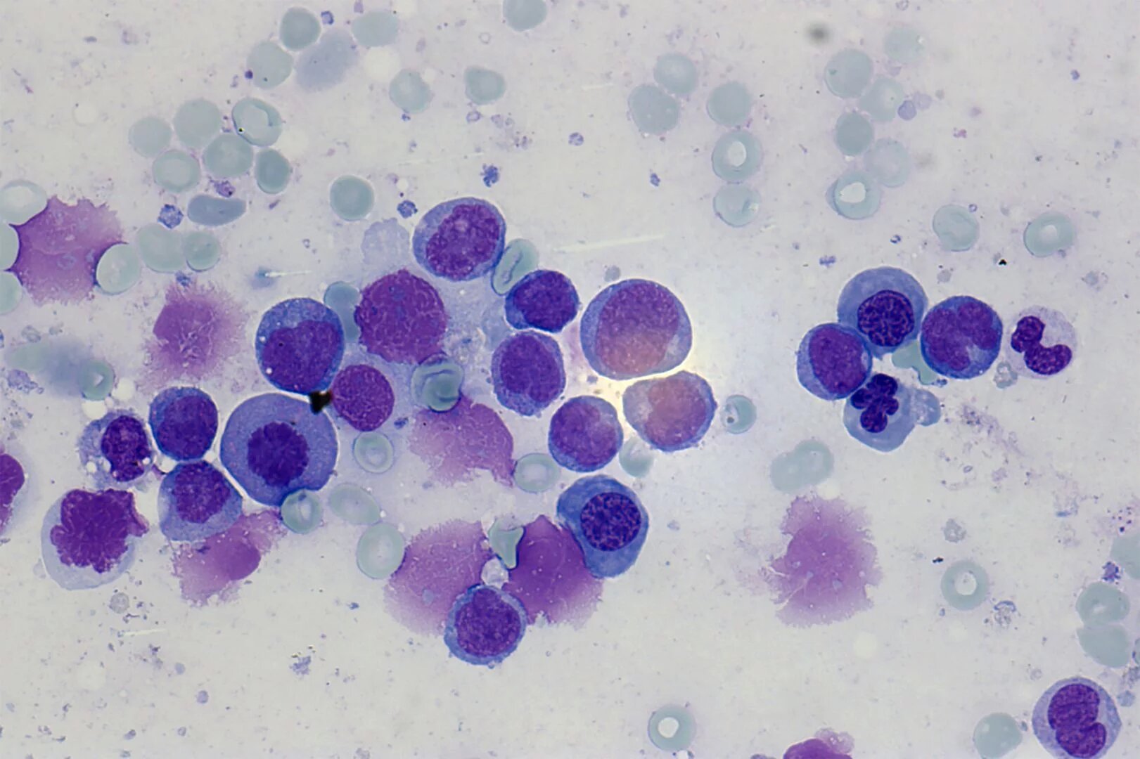
在AML中,所谓的骨髓细胞的早期前体退化;这些所谓的爆炸(紫色,63倍放大倍率)随后不受控制地繁殖。学分:医学博士拉尔斯·弗兰塞基,UKSH
(蜘蛛网eeook.com)据基尔大学:急性髓系白血病(AML)是一种造血系统的恶性疾病,起源于红细胞,血小板和部分白细胞的未成熟前体。虽然在健康人群中,血细胞的增殖和更新受到严格监管,但这一过程在AML中失控:所谓的骨髓细胞的早期前体退化并不受控制地繁殖。
这些前体在骨髓中迅速扩散,阻止健康血液成分的形成,最终损害血液系统的重要功能。该疾病的原因尚未得到充分研究,可能与各种遗传变化有关,其中一些变化是在一生中获得的。
虽然AML是成人中最常见的急性白血病形式,约占病例的80%,但它是一种罕见疾病,每年每10万人中约有3例新发病例。随着年龄的增长,患者的预后恶化,复发和治疗耐药性的风险增加。
来自基尔大学医学院和石勒苏益格-荷尔斯泰因大学医学中心(UKSH)基尔校区内科诊所II,血液学和肿瘤学的研究小组现在调查了一种基因突变,也称为脑肿瘤研究,可能参与随着年龄的增长而进展和预后恶化。这种所谓的IDH1突变在65岁以后发生的频率明显更高,如AML患者的大量基因组数据所示。
原则上,突变与某种代谢蛋白的形成有关,该代谢蛋白干扰细胞分化,从而干扰血细胞的成熟。然而,研究人员现在已经能够描述这种形式的白血病的一种以前未知的机制,它会导致DNA的三维结构被破坏,从而导致某种促癌基因的激活。
由基尔肿瘤学网络(KON)和石勒苏益格-荷尔斯泰因大学癌症中心(UCCSH)的Claudia Baldus教授领导的科学家以及合作机构最近发表了他们在白血病方面的研究结果。
破坏的 3D DNA 架构
在癌症中,许多不同的因素经常相互作用并有助于疾病的发展。因此,科学家们正在寻找可以解释某些癌症相关基因激活的遗传模式。从以前的研究中已经知道,所谓的IDH1突变与DNA甲基化的全基因组增加有关。
甲基化是DNA中的化学变化,在健康人中特异性地打开或关闭某些基因,从而调节由它们形成的蛋白质量。如果DNA甲基化增加,这称为高甲基化。如果这影响了负责分化为成熟血细胞的基因,它们就不能被正确激活,受影响的细胞继续分裂而不是分化。结果是疾病进展更快。
此外,脑肿瘤研究的新结果现在提供了证据,证明高甲基化也会导致细胞核中DNA的空间结构改变,这可能导致IDH1突变脑肿瘤患者癌症相关基因的激活。
在这项新的研究工作中,基尔科学家调查了DNA中的这些3D变化是否也在白血病的发展中发挥作用。
“我们发现高甲基化不仅影响已知的分化基因,而且还可能发生在所谓的CTCF结合蛋白的结合位点。通常,这些结合位点决定了DNA在空间上排列的方式,相邻的结合蛋白切断DNA环,然后将某些基因与其他遗传信息隔离开来,“急性白血病功能基因组学研究助理Sophie Steinhäuser博士说。
“然而,由于这种结合位点的错误甲基化,环不能正确形成,以前分离的基因现在可以与外面的激活元件接触并被激活,”Steinhäuser继续说道。
在携带IDH1突变的AML患者中,这会导致属于酪氨酸激酶家族的基因PDGFRA上调。这些酶是细胞受体系统的一部分,传递细胞生长的信号,这在癌症的背景下也具有相关性。在AML的背景下,PDGFRA的上调确实与IDH1突变患者的预后较差有关。
为了在PDGRFA基因的激活和DNA结构的破坏之间建立联系,研究人员使用了一种所谓的细胞模型。他们使用基因组编辑来生成具有IDH1突变的血癌细胞,并观察到癌症相关基因在这些人造细胞中也存在更多。
“然后,我们检查了细胞模型中DNA的甲基化,并能够证明包裹PDGFRA基因的结合位点之一确实在突变细胞中甲基化,因此基因的分离被破坏,”Steinhäuser说。研究人员认为这证实了这种机制在以前未知的IDH1突变的癌症促进潜力中发挥作用。
IDH1突变AML的潜在治疗方法
通过确定这种新过程,研究人员发现了一种可能用于改善治疗方案的方法。原则上,可以抑制酪氨酸激酶以抑制不受控制的细胞生长,并且这种选择已经用于其他癌症。“在各种实验中,我们已经测试了一种已经批准的药物,用于抑制具有IDH1突变的白血病细胞的酪氨酸激酶,”医学院急性白血病功能基因组学工作组负责人Baldus解释说。
“在人工细胞模型和实验动物的体内研究中,我们观察到该药物导致血液,骨髓和脾脏中的白血病细胞减少。这是一种潜在的有前途的方法,将来可以考虑用于与IDH1突变相关的AML的更特异性治疗,“内科II诊所主任兼石勒苏益格 - 荷尔斯泰因大学癌症中心董事会成员Baldus说。
在未来的研究中,科学家们希望进一步研究这些方法,以便为这组随着年龄增长而特别危险的AML患者开发更有针对性的治疗方案。













