捷克举办“美丽科学”照片和插图竞赛
捷克举办的“美丽科学”照片和插图竞赛揭开了在科学研究所发现的奇妙世界。
波动函数
这张万花筒般的照片事实上是一个波动函数,说明的是一个活跃的亚原子粒子可能出现的位置。亚原子粒子在红色区域出现的可能性大于绿色区域,而且极少出现在黑色区域。如果使用其它的粒子或者磁场和电场,这个区域将变成不同的形状,在这种情况下,心脏的形状被称为心脏形曲线。
四只猴子
这张拥有古怪标题的照片事实上展现的是一株芦苇植物的横截面。巨大的绿环细胞属于韧皮部分,这种维管组织用于传输光合作用所产生的糖分。微微发红的脉络代表的是另一种被称为木质部分的维管组织,用于从根部运输水分和矿物质到植物上部。
背孔星座
不,你不是眼花了。这是一只普通的肝吸虫,是鸭子肠内的一只寄生虫。它的细胞核被一种荧光分子标记所照亮。其中亮度最集中的位置位于肝吸虫的生殖器官。
盲走螨
体长0.6毫米的盲走螨是一种凶猛的捕食性螨虫,它会捕食其它种类的螨虫。一只雌性盲走螨在它一生中会杀死数百只红蜘蛛螨虫。Viktor Sýkora 借助扫描电子显微镜进行了拍摄,然后用Adobe图像处理软件进行了着色。
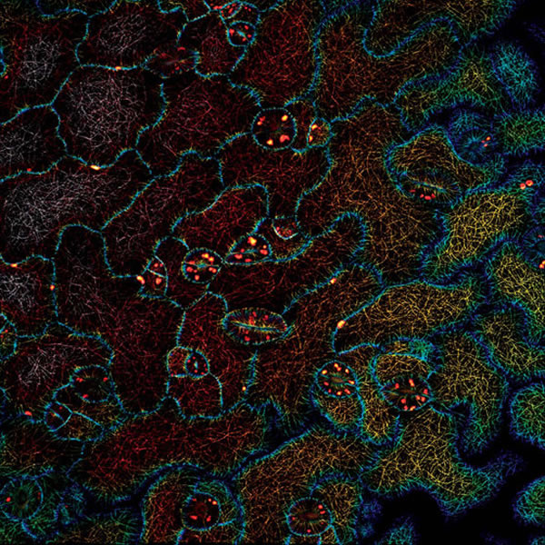
鼠耳芥团结的细胞
这张令人惊奇的色彩排列展示的是一种名为鼠耳水芹菜的植物表皮细胞微观照片,这种植物也被称为鼠耳芥,是生物学上一种典型的模式生物体。由于荧光蛋白的存在,叶绿体、气孔和细胞支架都非常引人注目。这张照片获得了竞赛特等奖。
水磷铝钠石
这张地图一样的画面中拥有绿色池塘和芥末色高速公路,事实上展示的是矿石水磷铝钠石的照片。这张照片在“科学摄影”类别中获得第二名。
一只红胸巨嘴鸟
这只快乐的巨嘴鸟图片描述的是红胸巨嘴鸟,获得了“科学插图”类比赛第一名。艺术家使用毡制粗头笔和水彩画出了这只鸟,然后用Gimp图像处理软件对图片进行了点缀。
一只小鸡
这张照片的主题事实上是借助它的彩色软骨来进行一堂解剖学课程。这张照片让观众有机会看到一只年幼的小鸡体内出奇精致的身体构造。
一只小蝎子
这张照片中明显像龙一样形状的物体事实上是一种蝎尾植物Scorpiurus muricatus的果实。这张照片是在暗环境下借助暖光和显微镜拍摄的,它获得了“科学微缩摄影”类第一名。
着陆
一只雌性红纹蜻蜓Sympetrum fonscolombii放下它的长腿作为起落架并且借助翅膀刹车来停靠在一根小树枝上。这张照片在2010年的“科学摄影”类比赛中获得了第一名。这张照片是使用一台佳能7D摄像机拍摄的。照片的作者也被选为了2011年竞赛的评委。
腾讯科技讯(过客/编译)






















