医学新突破:基因疗法成功抑制儿童肾上腺脑白质退化症
罗贾斯(左)跟哥哥同是肾上腺脑白质退化症患者。
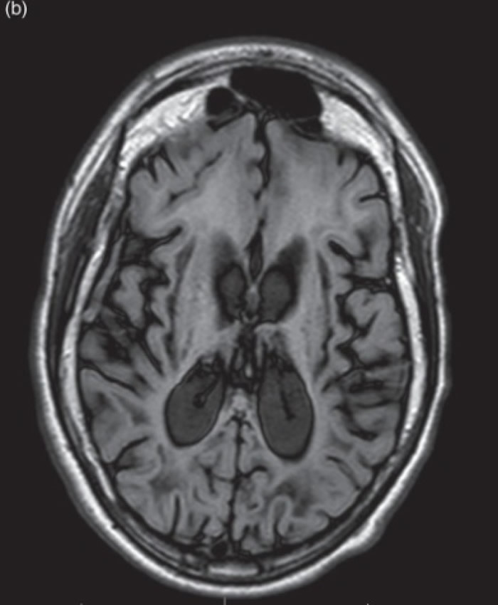
肾上腺脑白质退化症患者的脑部影像。
(蜘蛛网eeook.com报道)以往医学界对基因治疗欠缺把握,但近日却出现突破。美国波士顿有医学研究团队近日宣布,成功帮助15名患有肾上腺脑白质退化症(Adrenoleukodystrophy)的年幼患者稳定病情,令人鼓舞。有关结果周三(4日)刊登在《新英格兰医学杂志》。
肾上腺脑白质退化症会令身体无法制造一种能分解若干脂肪酸的蛋白质,令神经受破坏。此病主要患者为男童,平均全球每2万名男孩之中,就有一人会患此症。在今次临床实验,17名4至13岁严重患者参与。医生首先移走部分病人的血液干细胞,在实验室作基因改造并加入健康基因,再通过静脉注射入患者体内。在重新注射前,患者需服食强烈药物破坏他们本身的骨髓,这样才能让经修改基因在体内植根及繁衍,再生产出患者所需的蛋白质。
此病会令患者的身体基能急速恶化,并于染病后10年内夺命。其中15名患者接受今次基因治疗后2年,并没有出现严重残障,包括美国纽约七岁男童罗贾斯。这令人联想到1992年以同一病症为题材的电影《奇迹》(Lorenzo's Oil),电影讲述主角罗伦佐的父母为寻找方法医治他而锲而不舍的故事。














