新冠肺炎患者现罕见并发症“急性坏死性脑病变” 精神错乱中风
新冠肺炎患者现罕见并发症“急性坏死性脑病变” 精神错乱中风
(蜘蛛网eeook.com报道)据东网:全球新冠肺炎疫情严重,美国《纽约时报》周三(1日)报道,多地都有部分患者出现脑部受损或精神状态改变等情况。专家因此推测,新型冠状病毒或可直接入侵大脑。
各地都有少部分确诊患者出现中风、癫痫、类似脑炎、精神状况混乱或行为怪异等情况。美国佛罗里达州上月有一名74岁、患有慢性肺病及帕金逊症的男患者,突然失去语言能力,并有癫痫的情况。而另一名50多岁的女患者则精神混乱,只能说出自己的名字,之后回应医护人员的能力更愈来愈低。医生发现她的脑部部分区域有不正常肿胀及发炎的问题,一些区域更有细胞死亡。
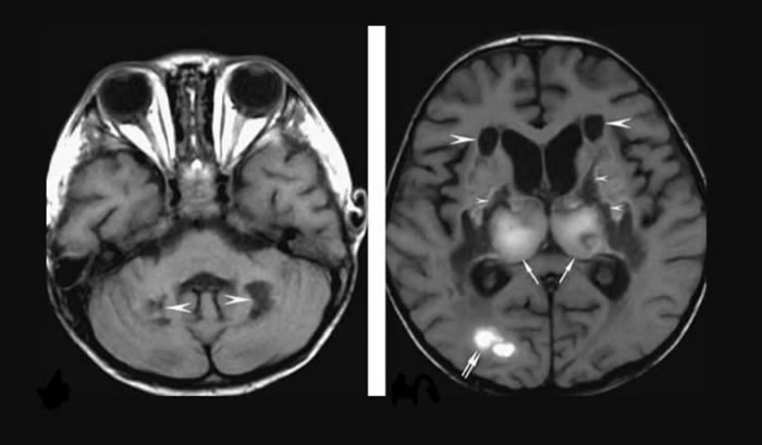
医生将此诊断为“急性坏死性脑病变”(acute necrotizing encephalopathy),是流感和其他病毒感染的罕见并发症。
不过,专家指大部分新冠肺炎患者都意识清醒,现时仍未有足够资料判断病毒对神经系统的影响。有专家认为,患者呼吸衰竭本身会导致血含氧量低、二氧化碳含量上升,从而影响脑部运作。
相关报道:医生越来越多发现感染CoViD-19病毒的患者有严重脑损
(蜘蛛网eeook.com报道)据俄罗斯卫星网:医生认为,新冠肺炎病毒很可能不仅只严重伤害肺部。据《纽约时报》报道,世界各地的神经学家认为,CoViD-19病毒患者会受到严重的脑损伤。
前不久,美国亨利福特医院(Henry Ford Hospital, HFH)接收了一位58岁的病人。他有咳嗽和发烧症状,但同时还有意识混乱、萎靡不振和迷失方向等现象。医生对她进行了包括流感和水痘在内的多项测试,结果均呈阴性。另外,医生对其进行了脑脊液成分诊断,也没有发现细菌感染的迹象。
当时,医生也进行了CoViD-19测试,结果呈阳性。但病人身上出现的是新冠病毒疫情下的非典型症状,于是决定对其进行CT检查。扫描显示,病人大脑中负责记忆和传递信号的部分受损。结果,医生确诊,病人患上了急性坏死性脑病(acute necrotizing encephalopathy,ANE)。这是一种罕见的、严重的、经常会致命的疾病,在发生病毒性感染时就会发生。医生们都认为,罪魁祸首就是CoViD-19病毒。
3月初,佛罗里达的一家医院收治了一名74岁的新冠病毒患者,他丧失了说话能力,并伴有痉挛症状发作。













